Prompt diagnosis and management of a ruptured mediastinal cystic teratoma
- PMID: 34527124
- PMCID: PMC8430271
- DOI: 10.1016/j.radcr.2021.08.026
Prompt diagnosis and management of a ruptured mediastinal cystic teratoma
Erratum in
-
Erratum regarding missing patient consent statements in previously published articles.Radiol Case Rep. 2022 Nov 25;18(2):730-731. doi: 10.1016/j.radcr.2022.10.049. eCollection 2023 Feb. Radiol Case Rep. 2022. PMID: 36588598 Free PMC article.
Abstract
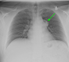
Mediastinal germ cell tumors are some of the less frequently encountered anterior mediastinal masses. We report an interesting case of a 26-year-old male with a ruptured mediastinal cystic teratoma. Initial plain radiograph and CT scan of the chest showed radiographic evidence of a ruptured cystic teratoma, including a peripherally enhancing, partially calcified mass with internal fat density. Upon surgical excision, the mass was found to adhere to the thymus and anterior aortic arch. The patient was promptly diagnosed via imaging and managed in a timely manner via complete surgical resection.
© 2021 Published by Elsevier Inc. on behalf of University of Washington.
Figures
References
-
- Shameem M, Qaseem SMD, Siddiqui MA, Shah NN, Ahmad A. Mature mediastinal teratoma in adult. Respiratory medicine CME. 2010;3(2):116–117. doi: 10.1016/j.radcr.2020.05.011. - DOI
Publication types
LinkOut - more resources
Full Text Sources
