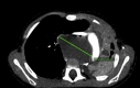
A bronchogenic cyst masquerading as asthma: A case report
- PMID: 34541503
- PMCID: PMC8432928
- DOI: 10.7196/SARJ.2018.v24i2.169
A bronchogenic cyst masquerading as asthma: A case report
Abstract
Wheezing in infants and under-five children may present a diagnostic problem as there are various aetiologies for this symptom. Diagnosis of asthma is often made as it is one of the causes of wheezing in children. It is however important to have taken a complete history, including allergy and appropriate diagnostic investigations. If the child's symptoms do not improve despite appropriate therapy, a different diagnosis must be pursued. We report the case of a child who presented to us with wheezing and who did not respond to therapy.
Keywords: South Africa; bronchogenic cyts; case study; paediatric male; paediatric pulmonology.
Conflict of interest statement
Conflicts of interest: None.
Figures












References
-
- Goldsztein H, Miranda A, Pinczewski J, Pereira KD. Bronchogenic cyst: An unusual cause of respiratory distress in a neonate. Int J Pediatr Otorhinolaryngol. 2011;6(4):297–299. doi: 10.1016/j.pedex.2011.02.001. - DOI
Publication types
LinkOut - more resources
Full Text Sources