Ultrasonography in soft-tissue foreign-body detection: a phantom study
- PMID: 34567296
- PMCID: PMC8449557
- DOI: 10.5114/pjr.2021.108879
Ultrasonography in soft-tissue foreign-body detection: a phantom study
Abstract
Purpose: Foreign body implantation into the soft tissues, either in the early period or late period, is a common cause of emergency department admissions. Direct X-rays are preferred in the diagnosis of soft-tissue foreign-bodies. Herein, we aimed to analyse the detection rates of foreign bodies of various sizes placed in phantoms implanted into soft tissue by ultrasonography.
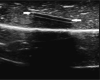
Material and methods: A total of 740 pieces of chicken fillet were prepared as phantoms. No objects were implanted into 100 phantoms. We inserted glass, porcelain, plastic, wood, pencil tip, chicken bone, iron, walnut shell, and fishbone with a length of < 1 cm, 1-3 cm, and 3-5 cm into 20 pieces of chicken phantom in each size of foreign body (FB). In addition, 1-3 cm long peanut shell, < 1 cm rose spikes, < 1 cm cactus thorns, < 1 cm pellets, and < 1 cm staples were inserted into 20 pieces of chicken for each object. Each of the chicken pieces was placed inside a latex glove and examined by ultrasonography.
Results: The sensitivity of ultrasonography in the detection of the cactus thorn was 5%, whereas it ranged between 82.5 and 100% for other objects. For glass, plastic, wood, iron, and fishbone, we found that when the size exceeded 1 cm, the sensitivity increased.
Conclusions: In the evaluation of soft tissue FBs, as the size of the FBs increases, the diagnostic value of ultrasonography increases.
Keywords: chicken model; foreign bodies; phantom; soft tissue; ultrasonography.
© Pol J Radiol 2021.
Conflict of interest statement
The authors report no conflict of interest.
Figures


References
-
- Bradley M. Image-guided soft-tissue foreign body extraction–success and pitfalls. Clin Radiol 2012; 67: 531-534. - PubMed
-
- Manthey DE, Storrow AB, Milbourn JM, Wagner BJ. Ultrasound versus radiography in the detection of soft-tissue foreign bodies. Ann Emerg Med 1996; 28: 7-9. - PubMed
-
- Saul T, Siadecki SD, Rose G, et al. . Ultrasound for the evaluation of soft tissue foreign bodies before and after the addition of fluid to the surrounding interstitial space in a cadaveric model. Am J Emerg Med 2016; 34: 1779-1782. - PubMed
-
- Tseng HJ, Hanna TN, Shuaib W, et al. . Imaging foreign bodies: ingested, aspirated, and inserted. Ann Emerg Med 2015; 66: 570-582. - PubMed
LinkOut - more resources
Full Text Sources