Primary aortoenteric fistula: A case report and brief review of the literature
- PMID: 34567331
- PMCID: PMC8449087
- DOI: 10.1016/j.radcr.2021.08.044
Primary aortoenteric fistula: A case report and brief review of the literature
Erratum in
-
Erratum regarding missing patient consent statements in previously published articles.Radiol Case Rep. 2022 Nov 25;18(2):730-731. doi: 10.1016/j.radcr.2022.10.049. eCollection 2023 Feb. Radiol Case Rep. 2022. PMID: 36588598 Free PMC article.
Abstract
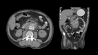
Aortoenteric fistula is a life-threatening emergency and is associated with high morbidity and mortality. Prompt surgical intervention before the aneurysm ruptures lowers the mortality rate to about 50%. Potential imaging mimics for aortoenteric fistula include retroperitoneal fibrosis, mycotic aortic aneurysm, and infectious aortitis. Secondary aortoenteric fistula has relative higher incidence compared to primary and is more common with open aortic repair versus endovascular stent graft repair. Ectopic gas in the aneurysm sac and extravasation of enteric contrast into the aneurysm sac is diagnostic for aortoenteric fistula. However, enteric contrast is not recommended for routine evaluation of aortoenteric because the aforementioned finding is extremely rare. More common imaging findings include bowel loop appearing adherent to aneurysm sac with associated inflammatory stranding and foci or ectopic gas within the aneurysm sac or interposed between the bowel and aneurysm sac. Here we present a case of 52-year-old male who presents with incidental primary aortoenteric fistula.
Keywords: Acute aortic syndrome; Aortoenteric fistula; Axillobifemoral bypass.
© 2021 The Authors. Published by Elsevier Inc. on behalf of University of Washington.
Figures
References
Publication types
LinkOut - more resources
Full Text Sources
