Skip to main page content
U.S. flag

An official website of the United States government

Dot gov

The .gov means it’s official.
Federal government websites often end in .gov or .mil. Before sharing sensitive information, make sure you’re on a federal government site.

Https

The site is secure.
The https:// ensures that you are connecting to the official website and that any information you provide is encrypted and transmitted securely.

Access keys NCBI Homepage MyNCBI Homepage Main Content Main Navigation
Case Reports
. 2021;3(12):2622-2625.
doi: 10.1007/s42399-021-01063-3. Epub 2021 Sep 21.

Simultaneous Arterial and Venous Brain Infarctions in a Patient with COVID-19: Case Report

Affiliations
Case Reports

Simultaneous Arterial and Venous Brain Infarctions in a Patient with COVID-19: Case Report

Sonia Bermúdez et al. SN Compr Clin Med. 2021.

Abstract

Stroke is one of the manifestations of COVID-19-associated coagulopathy. Arterial infarcts are the most common presentation; however involvement of both arterial and venous irrigation is possible but rare. We report, what is, to our knowledge, the second case of concomitant arterial and venous brain thrombosis evidenced in magnetic resonance. A 62-year-old man presented with acute weakness of the left hand and lack of coordination in the left arm. Nine days earlier, he was positive for SARS-CoV-2 RT-PCR. The brain images revealed two subacute infarcts, one corresponding to the territory of the right middle cerebral artery, and the other in the right frontal cortical vein. The existence of both venous and arterial brain infarcts due to COVID-19 infection, has been previously reported once. Most of the cases of stroke are due to only arterial thrombosis; therefore, this could be the starting point to start collecting data about simultaneous compromise in order to assess and compare outcomes, severity of the disease, among other variables.

Keywords: Arterial and venous infarct; COVID-19; Stroke; Vascular disease.

PubMed Disclaimer

Conflict of interest statement

Conflict of InterestThe authors declare no competing interests.

Figures

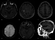
Fig. 1
Fig. 1
A MRI and FLAIR T2W images. Cortical and subcortical high T2 signal in the posterior right temporal lobe corresponding to arterial infarct B High T2 signal subcortical in the frontal lobe corresponding to venous infarct C T1W axial view. High subcortical signal due to hemorrhage in venous infarct. D SWI linear low signal corresponding to thrombosed cortical frontal vein. E Axial T1W with gadolinium. Cortical and meningeal enhancement typical of an arterial stroke. F Sagittal T1W with gadolinium. Intrinsic T1 enhanncement of the thrombosed frontal vein and in cortex of the posterior cortical temporal stroke
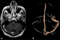
Fig. 2
Fig. 2
A MR with gadolinium. Right transverse and sigmoid sinuses with partial enhancement due to subacute thrombosis. B MR angiography with significant decrease of the venous flow in the right transverse and sigmoid sinuses due to partially recanalized thrombosis

References

    1. Singhania N, Bansal S, Nimmatoori DP, Ejaz AA, et al. Current overview on hypercoagulability in COVID-19. Am J Cardiovasc Drugs [Internet]. 123AD;20:393–403. 10.1007/s40256-020-00431-z - PMC - PubMed
    1. Malentacchi M, Gned D, Angelino V, Demichelis S, Perboni A, Veltri A, et al. Concomitant brain arterial and venous thrombosis in a COVID-19 patient. Eur J Neurol. 2020;27(9):e38–e39. doi: 10.1111/ene.14380. - DOI - PMC - PubMed
    1. Bautista-Vargas M, Bonilla-Abadía F, Cañas CA. Potential role for tissue factor in the pathogenesis of hypercoagulability associated with in COVID-19. J Thromb Thrombolysis. 2020;50:479–483. doi: 10.1007/s11239-020-02172-x. - DOI - PMC - PubMed
    1. Mazzeffi MA, Chow JH, Tanaka K. COVID-19 Associated hypercoagulability: manifestations, mechanisms, and management. Shock. 2021;55(4):465–471. doi: 10.1097/SHK.0000000000001660. - DOI - PMC - PubMed
    1. Ntaios G, Michel P, Georgiopoulos G, Guo Y, Li W, Xiong J, et al. Characteristics and outcomes in patients with COVID-19 and acute ischemic stroke: The Global COVID-19 Stroke Registry. Stroke. 2020;(September):254–8. - PMC - PubMed

Publication types

LinkOut - more resources