Skip to main page content
U.S. flag

An official website of the United States government

Dot gov

The .gov means it’s official.
Federal government websites often end in .gov or .mil. Before sharing sensitive information, make sure you’re on a federal government site.

Https

The site is secure.
The https:// ensures that you are connecting to the official website and that any information you provide is encrypted and transmitted securely.

Access keys NCBI Homepage MyNCBI Homepage Main Content Main Navigation
. 2021 Aug 27:16:100477.
doi: 10.1016/j.ebr.2021.100477. eCollection 2021.

Genetic cause of epilepsy in a Greek cohort of children and young adults with heterogeneous epilepsy syndromes

Affiliations

Genetic cause of epilepsy in a Greek cohort of children and young adults with heterogeneous epilepsy syndromes

Ioannis Zaganas et al. Epilepsy Behav Rep. .

Abstract

We describe a cohort of 10 unrelated Greek patients (4 females, 6 males; median age 6.5 years, range 2-18 years) with heterogeneous epilepsy syndromes with a genetic basis. In these patients, causative genetic variants, including two novel ones, were identified in 9 known epilepsy-related genes through whole exome sequencing. A patient with glycine encephalopathy was a compound heterozygote for the p.Arg222Cys and the p.Ser77Leu AMT variant. A patient affected with Lafora disease carried the homozygous p.Arg171His EPM2A variant. A de novo heterozygous variant in the GABRG2 gene (p.Pro282Thr) was found in one patient and a pathogenic variant in the GRIN2B gene (p.Gly820Val) in another patient. Infantile-onset lactic acidosis with seizures was associated with the p.Arg446Ter PDHX gene variant in one patient. In two additional epilepsy patients, the p.Ala1662Val and the novel non-sense p.Phe1330Ter SCN1A gene variants were found. Finally, in 3 patients we observed a novel heterozygous missense variant in SCN2A (p.Ala1874Thr), a heterozygous splice site variant in SLC2A1 (c.517-2A>G), as a cause of Glut1 deficiency syndrome, and a pathogenic variant in STXBP1 (p.Arg292Leu), respectively. In half of our cases (patients with variants in the GRIN2B, SCN1A, SCN2A and SLC2A1 genes), a genetic cause with potential management implications was identified.

Keywords: Epilepsy; Genetics; Inherited epilepsy; Next-generation sequencing; Whole exome sequencing.

PubMed Disclaimer

Conflict of interest statement

The authors declare that they have no known competing financial interests or personal relationships that could have appeared to influence the work reported in this paper.

Figures

Fig. 1
Fig. 1
EEG recordings of patient # 5. A. Hypsarrhythmia pattern before initiation of ketogenic diet (KD). B. Improvement of the hypsarrhythmia pattern 2 years after initiation of KD. WES revealed the p.Arg446Ter (c.1336C>T) PDHX gene pathogenic variant in homozygous state.
Fig. 2
Fig. 2
MRI imaging of patient # 5 at 3 years of age. a. Sagittal T2-WI showing corpus callosum dysgenesis. b. Axial T2-FLAIR showing colpocephaly with mild dilatation of the occipital horns bilaterally and adjacent restricted leukoencephalopathy (arrows). WES revealed the p.Arg446Ter (c.1336C>T) PDHX gene pathogenic variant in homozygous state.
Fig. 3
Fig. 3
MRI of patient #1 at various ages. a. T2-weighted sequence, axial image at age 13 days, shows “very white” white matter and a rather rounded cortex, consistent with a diffuse encephalopathy. Intraventricular haemorrhage (arrowhead) is a change frequently encountered in the vulnerable neonatal brain, especially in premature babies. Absence of hypointense posterior limb of internal capsule (PLIC) (arrow) was an early indication of leukoencephalopathy. b. T2-weighted sequence, axial image at age 3.5 months and with reduced head circumference, shows increased extra-axial cerebrospinal fluid space frontally (*) with dilated ventricular system, consistent with reduced brain volume. Note small hyperintense thalami and lack of myelination with persisting absence of PLIC (arrow). C. Diffusion sequence, axial plane at age 3.5 months. There is restricted diffusion at areas where myelinated white matter should exist. This is evident as hyperintensity at the internal capsules (*) and at periventricular white matter around the frontal and occipital horns (arrowheads). D. Spectroscopy at 145 TE shows a glycine peak at 3.35 ppm (arrow). The clinical, imaging and biochemical diagnosis of glycine encephalopathy was confirmed by the identification of the p.Arg222Cys (c.664C>T) and p.Ser77Leu (c.230C>T) AMT gene variants in compound heterozygosity.
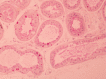
Fig. 4
Fig. 4
Lafora bodies in axillary skin biopsy from patient #2. Lafora bodies (PAS positive intracytoplasmic inclusions) are found in the cells lining the apocrine sweat glands. In this patient, we identified by WES a homozygous pathogenic EPM2A variant (p.Arg171His; c.512G>A).

References

    1. Berkovic S.F. Genetics of epilepsy in clinical practice. Epilepsy Curr. 2015;15:192–196. - PMC - PubMed
    1. Devinsky O., Vezzani A., O'Brien T.J., Jette N., Scheffer I.E., de Curtis M. Epilepsy. Nat Rev Dis Primers. 2018;4:18024. - PubMed
    1. Helbig I., Heinzen E.L., Mefford H.C., Commission T.I.G. Primer Part 1—The building blocks of epilepsy genetics. Epilepsia. 2016;57:861–868. - PubMed
    1. Myers K.A., Johnstone D.L., Dyment D.A. Epilepsy genetics: current knowledge, applications, and future directions. Clin Genet. 2019;95:95–111. - PubMed
    1. Wang Y., Du X., Bin R., Yu S., Xia Z., Zheng G. Genetic variants identified from epilepsy of unknown etiology in chinese children by targeted exome sequencing. Sci Rep. 2017;7:40319. - PMC - PubMed

LinkOut - more resources