Dietary Lactobacillus casei K17 Improves Lipid Metabolism, Antioxidant Response, and Fillet Quality of Micropterus salmoides
- PMID: 34573530
- PMCID: PMC8471337
- DOI: 10.3390/ani11092564
Dietary Lactobacillus casei K17 Improves Lipid Metabolism, Antioxidant Response, and Fillet Quality of Micropterus salmoides
Abstract
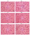
We previously demonstrated that Lactobacillus casei K17, isolated from Korean kimchi, has high antioxidant levels in vitro and in vivo. However, its effect on Micropterus salmoides is unknown. In this study, we investigated the impact of L. casei K17 supplementation on the lipid metabolism, antioxidant response, liver histology, and fillet quality of M. salmoides. We randomly assigned 450 M. salmoides (33.0 ± 0.5 g) to six diet groups for 69 days. The diets were as follows: 0.85% normal saline; 10% skim milk powder; 1 × 108 CFU/g live L. casei K17 (LB); 1 × 108 live L. casei K17 protected by skim milk powder (MB); 1 × 108 dead L. casei K17 (DB); and L. casei K17 fermentation supernatant. MB significantly improved the crude protein, total collagen, alkaline-insoluble collagen, fiber numbers, hardness, chewiness, and gumminess of M. salmoides fillets (p < 0.05). LB significantly improved crude protein and fiber numbers (p < 0.05). Furthermore, dietary supplementation with LB, MB, and DB maintained normal liver histology, preserved liver function, and increased hepatic and hemal antioxidant status by enhancing antioxidant enzyme activities. Meanwhile, the three diets also promoted lipid metabolism by increasing HDL-C effectiveness and reducing total cholesterol, triglyceride, and low-density lipoprotein cholesterol levels in serum and liver tissues, indicating that dietary supplementation with DB, LB, and MB had hypolipidemic effects on M. salmoides. MB and LB significantly improved fillet quality and LB, MB, and DB improved hemal and hepatic lipid metabolism and antioxidant response and reduced reactive oxygen species production, protecting M. salmoides hepatic cells from injury.
Keywords: Lactobacillus casei; Micropterus salmoides; antioxidant response; lipid metabolism; liver histology; probiotics.
Conflict of interest statement
The authors declare that they have no known competing financial interest or personal relationships that could have appeared to influence the work reported in this paper.
Figures
References
-
- Coyle S.D., Tidwell J.H., Webster C.D. Response of Largemouth Bass Micropterus salmoides to dietary supplementation of lysine, methionine, and highly unsaturated fatty acids. J. World Aquacult. Soc. 2007;31:89–95. doi: 10.1111/j.1749-7345.2000.tb00702.x. - DOI
-
- Gong Y., Yang F., Hu J., Liu C., Liu H., Han D., Jin J., Yang Y., Zhu X., Yi J., et al. Effects of dietary yeast hydrolysate on the growth, antioxidant response, immune response and disease resistance of largemouth bass (Micropterus salmoides) Fish Shellfish. Immunol. 2019;94:548–557. doi: 10.1016/j.fsi.2019.09.044. - DOI - PubMed
-
- Zhang T., Huang P.D., Zhao Y.F. Thinking of ulva, Jiangsu taste how to continue? Where is the high-quality industry of Micropterus salmoides? Sci. Fish Farming. 2019;12:20–23.
-
- Wang X., Hu J., Wang Y., Zhou J. Research progress of nutritional requirement for largemouth bass (Micropterus salmoides) Feed. Res. 2019;8:212–221.
-
- Chen Y., Liu Y., Yang H., Yuan Y., Liu F., Tian L., Liang G., Yuan R. Effect of dietary oxidized fish oil on growth performance, body composition, antioxidant defence mechanism and liver histology of juvenile largemouth bass Micropterus salmoides. Aquacult. Nutr. 2012;18:321–331. doi: 10.1111/j.1365-2095.2011.00900.x. - DOI
Grants and funding
LinkOut - more resources
Full Text Sources
Miscellaneous
