Stevens-Johnson Syndrome and Toxic Epidermal Necrolysis: A Review of Diagnosis and Management
- PMID: 34577817
- PMCID: PMC8472007
- DOI: 10.3390/medicina57090895
Stevens-Johnson Syndrome and Toxic Epidermal Necrolysis: A Review of Diagnosis and Management
Abstract
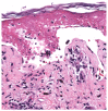
Stevens-Johnson Syndrome (SJS) and Toxic Epidermal Necrolysis (TEN) are rare diseases that are characterized by widespread epidermal necrosis and sloughing of skin. They are associated with significant morbidity and mortality, and early diagnosis and treatment is critical in achieving favorable outcomes for patients. In this scoping review, Excerpta Medica dataBASE and PubMed were searched for publications that addressed recent advances in the diagnosis and management of the disease. Multiple proteins (galectin 7 and RIP3) were identified that are promising potential biomarkers for SJS/TEN, although both are still in early phases of research. Regarding treatment, cyclosporine is the most effective therapy for the treatment of SJS, and a combination of intravenous immunoglobulin (IVIg) and corticosteroids is most effective for SJS/TEN overlap and TEN. Due to the rare nature of the disease, there is a lack of prospective, randomized controlled trials and conducting these in the future would provide valuable insights into the management of this disease.
Keywords: Stevens–Johnson Syndrome; Toxic Epidermal Necrolysis; cutaneous adverse drug reactions.
Conflict of interest statement
The authors declare no conflict of interest.
Figures


References
-
- Yang M.-S., Lee J.Y., Kim J., Kim G.-W., Kim B.-K., Kim J.-Y., Park H.-W., Cho S.-H., Min K.-U., Kang H.-R. Incidence of Stevens-Johnson Syndrome and Toxic Epidermal Necrolysis: A Nationwide Population-Based Study Using National Health Insurance Database in Korea. PLoS ONE. 2016;11:e0165933. doi: 10.1371/journal.pone.0165933. - DOI - PMC - PubMed
Publication types
MeSH terms
Substances
LinkOut - more resources
Full Text Sources
Miscellaneous