Cardio-cerebral infarction in left MCA strokes: a case series and literature review
- PMID: 34590206
- PMCID: PMC8480750
- DOI: 10.1007/s10072-021-05628-x
Cardio-cerebral infarction in left MCA strokes: a case series and literature review
Abstract
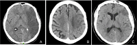
The objective of this manuscript is to describe the challenges of Cardio-Cerebral Infarction (CCI) treatment and to highlight the variable approaches in management. CCI is a rare clinical presentation of simultaneous acute ischemic stroke (AIS) and acute myocardial infarction (AMI) and poses a therapeutic challenge for practitioners. Each disease requires timely intervention to prevent irreversible damage; however, optimal management remains unclear. We describe three cases of CCI. All three patients presented with symptomatic left MCA (M1) occlusion, with ST elevation myocardial infarction (STEMI) and left ventricular apical thrombus. Fibrinolysis and mechanical thrombectomy (MT) were discussed in all cases, but only one patient received alteplase (0.9 mg/kg) and none underwent MT. Percutaneous intervention (PCI) was done in only one case. The two patients that did not receive thrombolysis were treated with modified therapeutic heparin (no bolus), and all received antiplatelet therapy. Ultimately, all three patients passed away. CCI poses a clinical challenge for physicians including (1) optimal strategies to enable swift mechanical reperfusion to both the brain and myocardium; (2) difference in dosage of thrombolytics for AIS versus AMI; (3) risk of symptomatic intracerebral hemorrhage following administration of anticoagulation and/or antiplatelet therapy; and (4) caution with use of thrombolytics in the setting of acute STEMI due to the risk of myocardial rupture. In the absence of high quality evidence and clinical guidelines, treatment of CCI is highly individualized.
Keywords: Acute ischemic stroke; Alteplase; Cardio-cerebral infarct; Cerebral ischemia; Myocardial infarct.
© 2021. Fondazione Società Italiana di Neurologia.
Conflict of interest statement
The authors declare no competing interests.
Figures
References
- 
    - Powers WJ, Rabinstein AA, Ackerson T, et al. Guidelines for the Early Management of Patients With Acute Ischemic Stroke: 2019 Update to the 2018 Guidelines for the Early Management of Acute Ischemic Stroke: A Guideline for Healthcare Professionals From the American Heart Association/American Stroke Association. Stroke. 2019;50:e344. doi: 10.1161/STROKEAHA.118.022606. - DOI - PubMed
 
Publication types
MeSH terms
LinkOut - more resources
- Full Text Sources
- Medical
- Miscellaneous
 
         
               
              