Trans-aortic left ventricular thrombo-embolectomy following COVID-19 infection
- PMID: 34594494
- PMCID: PMC8478470
- DOI: 10.1093/jscr/rjab426
Trans-aortic left ventricular thrombo-embolectomy following COVID-19 infection
Abstract
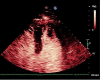
Left ventricular thrombosis is a known complication of myocardial infarction. COVID 19 has been shown to produce a procoagulant state resulting in venous and less commonly arterial thrombosis. Here, we describe a patient who presented with a non-ST elevation myocardial infarction (NSTEMI), in the context of a COVID 19 infection. This NSTEMI resulted in the formation of a large pedunculated apical thrombus, which was initially managed conservatively, however ultimately required surgical thromboembolectomy. Access to the left ventricle was gained via the transaortic route in order to avoid ventriculotomy in a patient with a reduced LV systolic function. Post-operative imaging confirmed complete resection of thrombus.
Published by Oxford University Press and JSCR Publishing Ltd. © The Author(s) 2021.
Figures
References
-
- Asinger RW, Mikell FL, Elsperger J, Hodges M. Incidence of left-ventricular thrombosis after acute transmural myocardial infarction: serial evaluation by two-dimensional echocardiography. N Engl J Med 1981;305:297–302. - PubMed
-
- Solheim S, Seljeflot I, Lunde K, Bjørnerheim R, Aakhus S, Forfang K, et al. . Frequency of left ventricular thrombus in patients with anterior wall acute myocardial infarction treated with percutaneous coronary intervention and dual antiplatelet therapy. Am J Cardiol 2010;106:1197–200. - PubMed
Publication types
LinkOut - more resources
Full Text Sources
