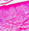
[A Case of Pityriasis Lichenoides Chronica in a Patient with COVID-19 Infection]
- PMID: 34602615
- PMCID: PMC8479383
- DOI: 10.1016/j.ad.2021.09.002
[A Case of Pityriasis Lichenoides Chronica in a Patient with COVID-19 Infection]
Figures


References
-
- Khachemoune A., Blyumin M.L. Pityriasis lichenoides. Am J Clin Dermatol. 2007;8:29–36. - PubMed
-
- Bowers S., Warshaw E.M. Pityriasis lichenoides and its subtypes. J Am Acad Dermatol. 2006;55:557–572. - PubMed
-
- Filippi F., Patrizi A., Sabattini E., Varotti E., Bertuzzi C., Pileri A. Pityriasis lichenoides triggered by measles-mumps-rubella vaccine injection. J Dtsch Dermatol Ges. 2020;18:758–760. - PubMed
Publication types
MeSH terms
LinkOut - more resources
Full Text Sources
Medical