Renal cell carcinoma with unusual metachronous metastasis up to 22 years after nephrectomy: two case reports
- PMID: 34607612
- PMCID: PMC8491385
- DOI: 10.1186/s13256-021-03098-5
Renal cell carcinoma with unusual metachronous metastasis up to 22 years after nephrectomy: two case reports
Abstract
Introduction: Renal cell carcinoma is the third most common malignant tumor in the urogenital tract. An estimated 25% of renal cell carcinomas are in stage IV when diagnosed. The 5-year-survival with stage IV is about 20%. Late metastases are found after an extended disease-free interval up to 20 years after primary nephrectomy.
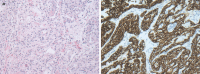
Case presentation: Here, we present two cases with late-onset metastasis of renal cell carcinoma with different clinical presentations. The first patient, an 88-year-old Caucasian man, presented with bleeding of the upper gastrointestinal tract. Biopsies taken from the duodenal bulb showed a tumor compatible with a solitary metastasis from renal cell carcinoma 22 years ago. The second patient, a 79-year-old Caucasian man, consulted our gastroenterological department with results of an outpatient computed tomography scan with multiple suspected tumor areas in the liver, omentum, thyroid, and mediastinum. A computed tomography-guided liver biopsy was performed that showed a clear-cell tumor consistent with a metastasis of the renal cell carcinoma 17 years ago.
Conclusion: Both cases show that patients with a history of renal cell carcinoma should be followed up for a longer time than patients with other malignant tumors.
Keywords: Liver; Metastasis; Omentum; Pancreas; Renal cell carcinoma.
© 2021. The Author(s).
Conflict of interest statement
The authors declare that they have no competing interests.
Figures




References
Publication types
MeSH terms
LinkOut - more resources
Full Text Sources
Medical