Management of intertarsal septic arthritis in an ostrich (Struthio camelus)
- PMID: 34614298
- PMCID: PMC8788885
- DOI: 10.1002/vms3.643
Management of intertarsal septic arthritis in an ostrich (Struthio camelus)
Abstract
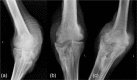
A 7-year-old female ostrich (Struthio camelus) presented with lameness, left intertarsal joint swelling and a healing wound on the caudomedial aspect of the joint. Synovial culture revealed Corynebacterium species and radiographs were consistent with progressive septic arthritis. Multiple treatments were attempted including through-and-through joint lavage, intra-articular antibiotics, caudomedial arthrotomy, and regional limb perfusion in conjunction with systemic antibiotics and analgesia. Euthanasia was ultimately performed due to prolonged recumbency and poor prognosis. This report describes novel therapies and a surgical approach utilized for treatment of intertarsal septic arthritis in an ostrich and exemplifies the poor prognosis described in other species presenting with non-responsive septic arthritis of critical joints.
Keywords: Corynebacterium; arthrotomy; avian; ratite.
© 2021 The Authors. Veterinary Medicine and Science published by John Wiley & Sons Ltd.
Conflict of interest statement
The authors report no interest in production of this manuscript.
Figures
References
-
- Burba, D. J. , Tully, T. N. , Pechman, R. D. , & Cornick‐Seahorn, J. L. (1996). Phalangeal amputation for treatment of ossteomyelitis and septic arthritis in an Ostrich (Struthio Camelus). Journal of Avian Medicine and Surgery, 10(1), 19–23.
-
- Desrochers, A. (2004). Septic arthritis. In S Fubini and N Ducharme (Eds.), Farm animal surgery (1st ed., pp. 330–336). Elsevier.
Publication types
MeSH terms
LinkOut - more resources
Full Text Sources
Medical
