Intracranial Transthecal Fat Migration After a Sacral Fracture: 2 Case Reports
- PMID: 34637425
- PMCID: PMC8522689
- DOI: 10.12659/AJCR.932760
Intracranial Transthecal Fat Migration After a Sacral Fracture: 2 Case Reports
Abstract
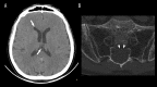
BACKGROUND The presence of fat droplets within the subarachnoid space is an uncommon finding, which is almost exclusively associated with a ruptured dermoid cyst. In a trauma setting, transthecal migration of fat droplets is an extremely rare occurrence. We present 2 case reports of intracranial transthecal migration of fatty bone marrow after sacral fractures. CASE REPORT Both patients presented to the Emergency Department (ED) after falls from a standing height. The first patient, an 84-year-old woman, suffered a stable sacral fracture extending into a large meningeal cyst within the right S2 foramen. Her initial neurological assessment and computed tomography (CT) of the head were unremarkable. As the fracture did not require surgical treatment, she was discharged home and prescribed bed rest, analgesics, and venous thromboembolism prophylaxis. Three days after the injury, she was readmitted to the ED with a mild headache, dizziness, and an episode of nausea and vomiting. A follow-up head CT revealed fat droplets in the subarachnoid space and lateral ventricles. After successful symptomatic treatment, she was discharged home in good general condition. The second patient, a 60-year-old man, underwent a head CT for a scalp hematoma, which revealed fat droplets in the 3rd ventricle and right lateral ventricle. The pelvic CT revealed a large sacral meningeal cyst with microfractures in its wall. He was discharged home on the same day and prescribed bed rest and analgesics. CONCLUSIONS The detection of intracranial intrathecal fat droplets in association with a specific trauma mechanism should initiate the search for a sacral fracture.
Conflict of interest statement
Figures



References
Publication types
MeSH terms
LinkOut - more resources
Full Text Sources
Medical
Research Materials