A Case of Necrotizing Soft Tissue Infection Secondary to Perforated Colon Cancer
- PMID: 34646705
- PMCID: PMC8487249
- DOI: 10.7759/cureus.17663
A Case of Necrotizing Soft Tissue Infection Secondary to Perforated Colon Cancer
Abstract
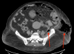
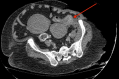
Necrotizing soft tissue infections are aggressive infections that cause necrosis of muscle, fascia, and tissue. They typically follow fascial planes that lack insufficient blood supply. Early drainage and debridement are essential for survival in these patients. This is a case of a patient who presented in diabetic ketoacidosis with a necrotizing soft tissue infection localized to the left flank and abdomen with underlying colon cancer pathology. The patient was a 54-year-old female who initially presented with acute dyspnea and left flank pain for two weeks. On admission, she was afebrile, tachycardic, tachypneic, and hypertensive. After being transferred to the ICU for diabetic ketoacidosis management, she began complaining of left abdominal pain and the CT showed concerns for a possible necrotizing soft tissue infection in the left flank region. She was taken to the operating room immediately for debridement and started on broad-spectrum antibiotics. The next day, an exploratory laparotomy was performed with a hemicolectomy and creation of an end colostomy due to concern for a perforated colonic malignancy. A final debridement was completed and a wound vacuum-assisted closure (VAC) was placed. Final pathology demonstrated well-differentiated colonic adenocarcinoma invading into the muscularis propria. Overall, necrotizing soft tissue infections can be related to a perforated viscus especially a colonic malignancy and this case demonstrates the importance of proper surgical management and high clinical suspicion for possible underlying pathology in a soft tissue infection.
Keywords: cellulitis; colon cancer; malignancy; myositis; necrosis; necrotizing fasciitis; necrotizing soft tissue infection; nf; nsti; soft tissue infection.
Copyright © 2021, Bahl et al.
Conflict of interest statement
The authors have declared that no competing interests exist.
Figures






References
-
- Wallace HA, Perera TB. StatPearls [Internet] Treasure Island, FL: StatPearls Publishing; 2021. Necrotizing Fasciitis. - PubMed
-
- Necrotizing fasciitis. Shimizu T, Tokuda Y. Intern Med. 2010;49:1051–1057. - PubMed
-
- Necrotizing fasciitis: a fourteen-year retrospective study of 163 consecutive patients. Childers BJ, Potyondy LD, Nachreiner R, et al. https://pubmed.ncbi.nlm.nih.gov/11842952/ Am Surg. 2002;68:109–116. - PubMed
-
- Bacteriology of necrotizing infections of soft tissues. Singh G, Ray P, Sinha SK, Adhikary S, Khanna SK. Aust N Z J Surg. 1996;66:747–750. - PubMed
-
- Predictors of mortality and limb loss in necrotizing soft tissue infections. Anaya DA, McMahon K, Nathens AB, Sullivan SR, Foy H, Bulger E. Arch Surg. 2005;140:151–157. - PubMed
Publication types
LinkOut - more resources
Full Text Sources