Midbrain Ischemic Strokes Presenting as Isolated Internuclear Opthalmoplegia
- PMID: 34660029
- PMCID: PMC8500245
- DOI: 10.7759/cureus.17819
Midbrain Ischemic Strokes Presenting as Isolated Internuclear Opthalmoplegia
Abstract
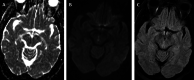
Stroke can present with unique neurologic symptoms, which can be used to help determine the location of the stroke. Internuclear ophthalmoparesis (INO), also known as internuclearophthalmoplegia, is a distinct gaze abnormality with impaired horizontal eye movements with compromised adduction of the affected eye, and abduction nystagmus of the contralateral eye. Infarcts involving the medial longitudinal fasciculus in either the pons or midbrain can result in INO. We present two cases of midbrain ischemic stroke, which presented as isolated INO. The midbrain has a unique and intricate vascular supply including branches from the basilar, superior cerebellar, posterior cerebral, posterior communicating, anterior choroidal, and posterior choroidal arteries, which is reviewed. Infarcts involving the paramedian midbrain, which is supplied by short circumferential arteries and penetrating branches arising from the posterior cerebral artery and superior cerebellar artery, can result in INO.
Keywords: infarct; internuclear ophthalmoparesis; midbrain; stroke; vascular supply.
Copyright © 2021, Haymes et al.
Conflict of interest statement
The authors have declared that no competing interests exist.
Figures



References
-
- Brainstem pathways for horizontal eye movement: pathologic correlation with MR imaging. Bae YJ, Kim JH, Choi BS, Jung C, Kim E. Radiographics. 2013;33:47–59. - PubMed
-
- Clinical study of twenty-one patients with pure midbrain infarction. Ogawa K, Suzuki Y, Oishi M, Kamei S. Eur Neurol. 2012;67:81–89. - PubMed
-
- Internuclear ophthalmoplegia as a sole presentation of acute ischemic stroke involving the midbrain with an NIH stroke scale of One. Shetty NU, Shpilko M. https://www.omicsonline.org/open-access/internuclear-ophthalmoplegia-as-... J Biol Med Sci. 2017;1:1–2.
-
- Isolated INO as a presentation of midbrain paramedian area lacunar infarction in patients with diabetes. Zhang Y, Wang L, He M. J Clin Neurosci. 2017;45:261–264. - PubMed
Publication types
LinkOut - more resources
Full Text Sources