Saddle Aortic Embolism Following Recovery From Severe COVID-19 Pneumonia
- PMID: 34671538
- PMCID: PMC8521487
- DOI: 10.7759/cureus.18074
Saddle Aortic Embolism Following Recovery From Severe COVID-19 Pneumonia
Retraction in
-
Retraction: Saddle Aortic Embolism Following Recovery From Severe COVID-19 Pneumonia.Cureus. 2024 Jan 25;16(1):r82. doi: 10.7759/cureus.r82. eCollection 2024 Jan. Cureus. 2024. PMID: 38274631 Free PMC article.
Expression of concern in
-
Expression of Concern: Saddle Aortic Embolism Following Recovery From Severe COVID-19 Pneumonia.Cureus. 2022 Apr 7;14(4):x1. doi: 10.7759/cureus.x1. eCollection 2022 Apr. Cureus. 2022. PMID: 35463609 Free PMC article. No abstract available.
Abstract
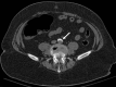
Coronavirus disease 2019 (COVID-19) is a multi-organ disease with a wide range of manifestations. Coagulopathy is one of the well-recognized complications of COVID-19. We report the case of a 42-year-old man who presented with progressively worsening low back pain of two days in duration. The pain was burning in character, non-radiating, and was not related to movement. The patient had a recent history of severe COVID-19 pneumonia requiring mechanical ventilation and has stayed in the intensive care unit for eight days. He was discharged three days before the acute onset of his back pain. Examination of the lumbar spine was unremarkable. However, lower limb examination revealed coldness and absent pulses bilaterally. The patient underwent computed tomography angiography which revealed complete occlusion of the lower abdominal aorta at its bifurcation. Emergency endovascular treatment was performed to aspirate the clot. The symptoms resolved following the procedure and the patient was discharged on the third post-intervention day. Saddle aortic embolism is a rare life-threatening condition that may present solely with low back pain. The case demonstrated a possible complication of COVID-19 that occurred after the recovery from the acute phase of the disease.
Keywords: acute low back pain; case report; coronavirus disease 2019 (covid-19); saddle aortic embolism; saddle embolus.
Copyright © 2021, Alqahtani et al.
Conflict of interest statement
The authors have declared that no competing interests exist.
Figures


References
-
- Diagnosis and treatment of aortic saddle embolism. Ding X, Liu Y, Su Q, Hu S, Jiang J. Ann Vasc Surg. 2019;56:124–131. - PubMed
-
- A case study on thrombolytic treatment of acute aortic saddle embolism using bilateral femoral arterial puncture catheter. Zhu YL, Deng HR, Zhou M, Li M, Chen L. J Card Surg. 2021;36:726–730. - PubMed
Publication types
LinkOut - more resources
Full Text Sources