COVID-19, HIV-Associated Cryptococcal Meningitis, Disseminated Tuberculosis and Acute Ischaemic Stroke: A Fatal Foursome
- PMID: 34675561
- PMCID: PMC8517634
- DOI: 10.2147/IDR.S335711
COVID-19, HIV-Associated Cryptococcal Meningitis, Disseminated Tuberculosis and Acute Ischaemic Stroke: A Fatal Foursome
Abstract
Background: Several viral, bacterial and fungal co-infections have been associated with increased morbidity and mortality among patients with COVID-19. We report a fatal case of severe COVID-19 pneumonia in a patient with a recent diagnosis of advanced HIV disease complicated by cryptococcal meningitis, disseminated tuberculosis and acute ischemic stroke.
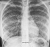
Case presentation: A 37-year-old Ugandan woman was diagnosed with HIV infection 8 days prior to her referral to our center. She was antiretroviral naïve. Her chief complaints were worsening cough, difficulty in breathing, fever and altered mental status for 3 days with a background of a 1-month history of coughing with associated drenching night sweats and weight loss. The reverse transcriptase-polymerase chain reaction for SARS-CoV-2 of her nasopharyngeal swab sample was positive. Chest radiograph demonstrated military pattern involvement of both lungs. The serum and cerebrospinal fluid cryptococcal antigen tests were positive. Urine lipoarabinomannan and sputum GeneXpert were positive for Mycobacterium tuberculosis. Computed tomography of the brain showed a large acute ischemic infarct in the territory of the right middle cerebral artery. Regardless of the initiation of treatment, that is, fluconazole 1200 mg once daily, enoxaparin 60 mg, intravenous (IV) dexamethasone 6 mg once daily, oral fluconazole 1200 mg once daily, IV piperacillin/tazobactam 4.5 g three times daily and oxygen therapy, the patient passed on within 36 hours of admission.
Conclusion: Co-infections worsen COVID-19 outcomes.
Keywords: COVID-19; HIV; co-infection; cryptococcal meningitis; stroke; tuberculosis.
© 2021 Bongomin et al.
Conflict of interest statement
The authors declare that they have no conflicts of interest in this work.
Figures



References
Publication types
LinkOut - more resources
Full Text Sources
Miscellaneous