What Is a Solitary Keratoacanthoma? A Benign Follicular Neoplasm, Frequently Associated with Squamous Cell Carcinoma
- PMID: 34679546
- PMCID: PMC8535102
- DOI: 10.3390/diagnostics11101848
What Is a Solitary Keratoacanthoma? A Benign Follicular Neoplasm, Frequently Associated with Squamous Cell Carcinoma
Abstract
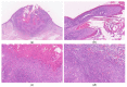
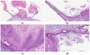
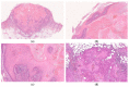
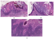
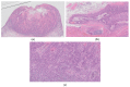
We present histopathological criteria for diagnosing keratoacanthoma (KA). In KA, four histological stages are recognized, which are the early/proliferative stage, well-developed stage, regressing stage and regressed stage. In diagnosing KA, we emphasize that KA consists of the proliferation of enlarged pale pink cells with ground glass-like cytoplasm without nuclear atypia, other than crateriform architecture. KA sometimes exhibits malignant transformation within the lesions. We describe the characteristics of benign and malignant epithelial crateriform tumors that should be differentiated from KA. We also present the data of histopathological diagnosis of lesions clinically diagnosed as KA, its natural course and related lesions after partial biopsy, and incidence of crateriform epithelial neoplasms. Based on these data, we recommend complete excision of the lesion when KA is clinically suspected, especially when the lesion is located on a sun-exposed area of an elderly patient. If complete excision is impossible, partial excision of a sufficient specimen with intact architecture is required. In such a case, however, careful investigation after biopsy will be needed, even if the histopathological diagnosis is KA, because there is some possibility that a conventional SCC lesion remains in the residual tissue.
Keywords: crater form of infundibular SCC; crateriform Bowen disease; crateriform SCC arising from actinic keratosis; crateriform neoplasms; crateriform seborrheic keratosis; crateriform verruca; keratoacanthoma; keratoacanthoma with malignant transformation; keratoacanthoma-like SCC; squamous cell carcinoma (SCC).
Conflict of interest statement
The authors declare no conflict of interest.
Figures












References
-
- Murphy G.F., Beer T.W., Cerio R., Kao G.F., Nagore E., Pulitzer M.P. Squamous cell carcinoma. In: Elder D.E., Massi D., Scolyer R.A., Willemze R., editors. World Health Organization Classification of Tumours. 4th ed. IARC Press; Lyon, France: 2018. pp. 35–45.
-
- Bennardo L., Bennardo F., Giudice A., Passante M., Dastoli S., Morrone P., Provensano E., Patruno C., Nisticò S.P. Local chemotherapy as an adjuvant treatment in unresectable squamous cell carcinoma: What do we know so far? Curr. Oncol. 2021;28:2317–2325. doi: 10.3390/curroncol28040213. - DOI - PMC - PubMed
Publication types
LinkOut - more resources
Full Text Sources
Research Materials