A Rare Thymic Tumor - Lipofibroadenoma - Always a Postoperative Surprise
- PMID: 34697204
- PMCID: PMC8627725
- DOI: 10.21873/invivo.12668
A Rare Thymic Tumor - Lipofibroadenoma - Always a Postoperative Surprise
Abstract
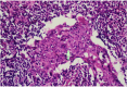
Background/aim: Thymic lipofibroadenoma is a benign growth of unknown etiology extremely rarely described in the literature, morphologically resembling lipofibroadenoma of the breast. The diagnosis is usually a postoperative surprise and is made by the anatomopathologist. Surgical resection is curative.
Case report: The presented case is the first reported in a woman, to date. The patient was successfully submitted to surgery and complete resection of the giant intrathoracic tumor was performed. The histopathological and immunohistochemical studies came to demonstrated the presence of a thymic lipofibroadenoma while the postoperative outcomes were favorable.
Conclusion: In cases presenting large intrathoracic tumors complete resection is able to provide a significant improvement of the general condition of the patient, as well as a chance for cure.
Keywords: Thymic lipofibroadenoma; resection; thymic rare tumor.
Copyright © 2021 International Institute of Anticancer Research (Dr. George J. Delinasios), All rights reserved.
Conflict of interest statement
The Authors have no conflicts of interest to declare regarding this study.
Figures






References
-
- Moran CA, Zeren H, Koss MN. Thymofibrolipoma. A histologic variant of thymolipoma. Arch Pathol Lab Med. 1994;118(3):281–282. - PubMed
Publication types
MeSH terms
LinkOut - more resources
Full Text Sources
Medical