Histopathologic and immunohistochemical findings of odontogenic jaw cysts treated by decompression technique
- PMID: 34703121
- PMCID: PMC8491353
- DOI: 10.4103/0973-029X.325126
Histopathologic and immunohistochemical findings of odontogenic jaw cysts treated by decompression technique
Abstract
Context: Odontogenic cysts are among the most common lesions to affect the oral and maxillofacial region. Cysts are capable of causing significant bony disfigurement, tooth displacement and pathological fractures. Several surgical approaches exist for the management of larger cysts of the jaws. These include enucleation, marsupialization and decompression.
Aims: 1. Analysis of histopathologic findings in odontogenic cysts before and after decompression2. Analysis of Ki-67 expression in odontogenic jaw cysts before and after decompression.
Settings and design: Decompression technique was used for the treatment of 10 cases of odontogenic cysts in the study. Incisional biopsies of cystic lining (pretreatment) and corresponding excisional biopsies (posttreatment) were received for histopathologic and immunohistochemical examination.
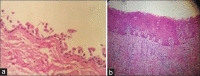
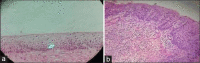
Subjects and methods: Hematoxylin and eosin stain was used for histopathologic findings, and Ki-67 was used for immunohistochemical findings using antibody Ki-67 in fresh tissue samples.
Results: Overall, radicular cysts, dentigerous cysts, and sialo-odontogenic cyst contained fewer Ki-67 + cells than odontogenic keratocysts. The average scores were found to be 2.2 and 1 for before and after decompression, respectively. A statistically significant difference was observed between the two groups. The two-tailed P value was found to be <0.0001. The confidence interval was found to be 95%.
Conclusions: The proliferative activity evaluated by Ki-67 marker was greater in predecompression epithelial lining compared to postdecompression. Our study infers that proliferative rate of the cystic epithelial lining is significantly diminished after decompression.
Keywords: Decompression; Ki-67; odontogenic cysts.
Copyright: © 2021 Journal of Oral and Maxillofacial Pathology.
Conflict of interest statement
There are no conflicts of interest.
Figures








References
-
- Martin L, Speight PM. Odontogenic cysts. Diagn Histopathol. 2015;21:359–69.
-
- Sammut S, Morrison A, Lopes V, Malden N. Decompression of large cystic lesions of the jaw: A case series. Oral Surg. 2011;5:13–7.
-
- Kolokythas A, Fernandes RP, Pazoki A, Ord RA. Odontogenic keratocyst: To decompress or not to decompress? A comparative study of decompression and enucleation versus resection/peripheral ostectomy. J Oral Maxillofac Surg. 2007;65:640–4. - PubMed
LinkOut - more resources
Full Text Sources
Medical