COVID-19 pneumonia imaging follow-up: when and how? A proposition from ESTI and ESR
- PMID: 34713328
- PMCID: PMC8553396
- DOI: 10.1007/s00330-021-08317-7
COVID-19 pneumonia imaging follow-up: when and how? A proposition from ESTI and ESR
Abstract
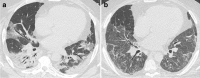
This document from the European Society of Thoracic Imaging (ESTI) and the European Society of Radiology (ESR) discusses the role of imaging in the long-term follow-up of COVID-19 patients, to define which patients may benefit from imaging, and what imaging modalities and protocols should be used. Insights into imaging features encountered on computed tomography (CT) scans and potential pitfalls are discussed and possible areas for future review and research are also included. KEY POINTS: • Post-COVID-19 pneumonia changes are mainly consistent with prior organizing pneumonia and are likely to disappear within 12 months of recovery from the acute infection in the majority of patients. • At present, with the longest series of follow-up examinations reported not exceeding 12 months, the development of persistent or progressive fibrosis in at least some individuals cannot yet be excluded. • Residual ground glass opacification may be associated with persisting bronchial dilatation and distortion, and might be termed "fibrotic-like changes" probably consistent with prior organizing pneumonia.
Keywords: COVID-19; Diagnostic imaging; Follow-up; Lung; Multidetector computed tomography.
© 2021. The Author(s).
Conflict of interest statement
The authors of this manuscript declare no relationships with any companies whose products or services may be related to the subject matter of the article.
Figures
References
MeSH terms
LinkOut - more resources
Full Text Sources
Medical
Miscellaneous
