Successful endoscopic closure with an over-the-scope clip for sigmoid colon perforation due to bile duct stent migration
- PMID: 34716544
- PMCID: PMC8858274
- DOI: 10.1007/s12328-021-01544-x
Successful endoscopic closure with an over-the-scope clip for sigmoid colon perforation due to bile duct stent migration
Abstract
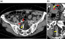
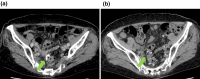
An 86-year-old woman presented with a history of endoscopic papillary sphincterotomy for bile duct stones and diverticulitis. The patient was admitted as an emergency case of acute cholangitis due to choledocholithiasis, underwent endoscopic bile duct stenting, and was discharged with a plan for endoscopic lithotripsy. One month later, the patient was readmitted owing to abdominal pain. Abdominal computed tomography at admission showed that the bile duct stent had migrated to the sigmoid colon and the presence of a small amount of extraintestinal gas, suggesting a colonic perforation. Lower gastrointestinal endoscopy showed adhesions and intestinal stenosis in the sigmoid colon, probably after diverticulitis, and the bile duct stent that had perforated the same site. The stent was removed and endoscopic closure of the perforation was performed using an over-the-scope clip. Abdominal computed tomography 8 days after the closure showed no extraintestinal gas. The patient resumed eating and was discharged on the 14th day of admission. There was no recurrence of abdominal pain. Endoscopic closure of sigmoid colon perforation due to bile duct stent migration using an over-the-scope clip has not been reported thus far, and it may be a new treatment option in the future.
Keywords: Bile duct stent; Endoscopic closure; Over-the-scope clip; Stent migration; Stent perforation.
© 2021. The Author(s).
Conflict of interest statement
All authors declare that they have no conflict of interest.
Figures
References
Publication types
MeSH terms
LinkOut - more resources
Full Text Sources
