Wunderlich syndrome: a rare case in a young woman
- PMID: 34747383
- PMCID: PMC10523042
- DOI: 10.23750/abm.v92iS1.11185
Wunderlich syndrome: a rare case in a young woman
Abstract
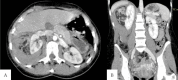
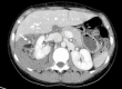
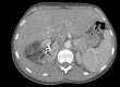
We report the case of a 29-year-old woman with Wunderlich syndrome, a rare spontaneous renal hemorrhage into the subcapsular and perinephric space. She presented to our emergency department with a sudden and persistent right flank pain in the abscence of abdominal injury. The onset of the symptoms can be insidious and lead to hypovolemic shock. Computed Tomography helps both in the diagnosis, detecting the renal hemorrhage, and contributes to an optimal patient management. Selective arterial embolisation is an efficient technique to stop acute and potential life-threatening hemorrhage and preserve the renal parenchyma.
Conflict of interest statement
Each author declares that he or she has no commercial associations (e.g. consultancies, stock ownership, equity interest, patent/licensing arrangement etc.) that might pose a conflict of interest in connection with the submitted article.
Figures




References
-
- Katabathina VS, Katre R, Prasad SR, Surabhi VR, Shanbhogue AK, Sunnapwar A. Wunderlich syndrome: cross-sectional imaging review. J Comput Assist Tomogr. 2011 Jul-Aug;35(4):425–33. - PubMed
-
- Albi G, Del Campo L, Tagarro D. Wunderlich’s syndrome: causes, diagnosis and radiological management. ClinRadiol. 2002;57:840–5. - PubMed
Publication types
MeSH terms
LinkOut - more resources
Full Text Sources
Medical