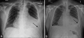
Acute pericarditis and cardiac tamponade after COVID-19 vaccination
- PMID: 34749492
- PMCID: PMC11073657
- DOI: 10.11622/smedj.2021195
Acute pericarditis and cardiac tamponade after COVID-19 vaccination
Conflict of interest statement
There are no conflicts of interest.
Figures



References
-
- World Health Organization. Weekly epidemiological update on COVID-19 – 11 May 2021. [[Last accessed on 2021 May 11]]. Available from: https://www.who.int/publications/m/item/weekly-epidemiological-update-on... .
-
- U.S. Food and Drug Administration. Emergency use authorization. [[Last accessed on 2021 Feb 09]]. Available from: https://www.fda.gov/emergency-preparedness-andresponse/mcm-legal-regulat... .
-
- Ministry of Health, Singapore. COVID-19 vaccination. [[Last accessed on 2021 May 17]]. Available from: https://www.moh.gov.sg/covid-19/vaccination .