Primary pulmonary angiosarcoma
- PMID: 34753722
- PMCID: PMC8578948
- DOI: 10.1136/bcr-2021-244578
Primary pulmonary angiosarcoma
Abstract
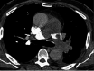
Primary pulmonary angiosarcoma is a rare type of malignant vascular tumour with poor prognosis. Diagnosis is often late due to non-specific symptoms and low clinical suspicion for angiosarcoma. A 72-year-old man presented to hospital with a 6-month history of mild progressive dyspnoea, with associated cough, episodes of presyncope and weight loss. CT pulmonary angiogram (CTPA) was reported as a large saddle pulmonary embolism extending into both the right and left pulmonary arteries. Further Multidisciplinary team meeting (MDM) discussion, and review of CTPA and subsequent investigations revealed a large primary pulmonary artery sarcoma which was later confirmed histology. The patient was referred to the cardiothoracic surgeons and underwent left radical pneumonectomy.
Keywords: lung cancer (oncology); pulmonary embolism; respiratory cancer.
© BMJ Publishing Group Limited 2021. No commercial re-use. See rights and permissions. Published by BMJ.
Conflict of interest statement
Competing interests: None declared.
Figures



References
-
- Travis WD, Brambilla E, Muller-Hermelink HK, et al. World Health organization classification of tumours. pathology and genetics of tumours of the lung, pleura, thymus and heart. IARC Press: Lyon, 2004.
Publication types
MeSH terms
LinkOut - more resources
Full Text Sources
Medical