HIV Encephalopathy Mimicking Acute Demyelinating Processes
- PMID: 34754655
- PMCID: PMC8569688
- DOI: 10.7759/cureus.18494
HIV Encephalopathy Mimicking Acute Demyelinating Processes
Abstract
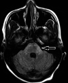
Human immunodeficiency virus (HIV) encephalopathy lies in the severe spectrum of HIV-associated neurological disorder (HAND) and ranges from asymptomatic condition to minor neurological features to severe dementia. Cerebrospinal fluid (CSF) analysis helps to rule out the presence of other opportunistic infections. Neuroimaging helps establish the diagnosis. We report a case of a 39-year-old African American female who presented with signs and symptoms suggestive of acute multiple sclerosis (MS) flares in the setting of advanced acute immunodeficiency syndrome (AIDS) encephalopathy. She presented with bilateral lower extremity muscle weakness and pain with apparent cognitive decline. Notable laboratory findings included leukopenia with normal neutrophils and positive serology for HIV-1. The MRI showed mild post-contrast enhancement suggestive of demyelinating disease, favoring MS over progressive multifocal leukoencephalopathy (PML). Cerebrospinal fluid analysis was significant for positive oligoclonal bands and negative serology. She was started on antiretroviral therapy (ART) for AIDS while holding steroids due to the possibility of worsening AIDS. After treatment for HIV, she showed immunologic and functional status improvement. HIV encephalopathy must be diagnosed by ruling out other similar presenting neurological illnesses for tactful patient management.
Keywords: acquired immunodeficiency syndrome; antiretroviral therapy; human immunodeficiency virus; leukoencephalopathy; multiple sclerosis.
Copyright © 2021, Mir et al.
Conflict of interest statement
The authors have declared that no competing interests exist.
Figures








References
Publication types
LinkOut - more resources
Full Text Sources