The histopathological landscape of the major psoriasiform dermatoses
- PMID: 34754910
- PMCID: PMC8565680
- DOI: 10.22551/2019.24.0603.10155
The histopathological landscape of the major psoriasiform dermatoses
Abstract
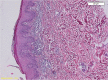
Psoriasiform dermatoses represent a wide spectrum of inflammatory conditions, with several major forms represented by psoriasis, as the prototype of this category, followed by pustular psoriasis, Reiter's syndrome, pityriasis rubra pilaris, lichen simplex chronicus and large-plaques parapsoriasis. They create a diagnostic challenge, both clinical and histopathological, because of their complexity and frequent overlapping of the microscopical features. The characteristic histopathological features of psoriasiform reaction comprise extensive hyperkeratosis, with horizontally confluent but vertically intermittent parakeratosis, which alternate with orthokeratosis, thin granular layer, with relative frequent mitoses, uniform elongated and fused rete ridges, edematous superficial papillary dermis, with dilated capillaries, perivascular lymphocytic infiltrate, Munro's microabscesses, and spongiform pustules of Kogoj. Our paper aims to review the histopathology of major form of psoriasiform dermatoses and to emphasize the characteristic microscopical differences between them, for a better approach of the diagnosis as an important key for clinical and therapeutical management. Using the clinicopathological correlations, a thoroughly evaluation of the microscopical features and compartments distribution or special stainings and techniques, the range of differential diagnosis can be decreased and a more accurate diagnostic can be usually achieved. The insights into the pathogenic mechanisms can lead to new therapeutic opportunities targeted to the specific type of inflammatory lesion.
Keywords: differential diagnosis; immune-mediated dermatitis; keratinocyte proliferation; psoriasis.
Conflict of interest statement
The authors have no conflict of interest to declare.
Figures




References
-
- Gillum PS, Golitz LE. Psoriasiform Dermatitis. In: Barnhill RL, Crowson AN, editors. Textbook of Dermatopathology. 2nd edition. McGraw-Hill; 2004. pp. 61–77.
-
- Weedon D. The psoriasiform reaction pattern, In Weedon’s Skin Pathology. 3rd edition. Churchill Livingstone. 2010:71–91.
Publication types
LinkOut - more resources
Full Text Sources