Adult Wilms with Biphasic Pattern; A Case Report
- PMID: 34760097
- PMCID: PMC8559647
- DOI: 10.22088/cjim.12.0.421
Adult Wilms with Biphasic Pattern; A Case Report
Abstract
Background: Wilms' tumor, nephroblastoma, is an extremely uncommon kidney tumor of adulthood. We reported a woman with a huge kidney mass diagnosed with nephroblastoma.
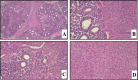
Case presentation: A 39-year-old female was assessed due to right flank pain. CT scan revealed a mass measuring 128×100 mms involving the upper portion of the right kidney. The patient underwent nephrectomy, and the diagnosis of adult Wilms' tumor was confirmed based on the morphological and immunohistochemical findings.
Conclusion: In adult patients with flank pain and renal mass, the diagnosis of Wilms' tumor should be pronounced in the absence of histopathologic features of renal cell carcinoma.
Keywords: Adult; Case report; Nephroblastoma; Wilms tumor.
Figures



References
-
- Patil TV, Patel KM, Shukla SN, et al. Adult Wilms' tumour. Indian J Med Paediatr Oncol. 2008;29:37–40.
-
- Kilton L, Matthews MJ, Cohen MH. Adult Wilms tumor: a report of prolonged survival and review of literature. J Urol. 1980;124:1–5. - PubMed
-
- Taghizadeh Kermani A, Ghorbani H, Gharib M, Gharibdoost Z, Javadinia SA. Unilateral renal primitive neuroectodermal tumor (PNET) Int J Cancer Manag. 2017;10:e7409.
-
- Kattan J, Tournade MF, Culine S, Terrier-Lacombe MJ, Droz JP. Adult Wilms' tumour: review of 22 cases. Eur J Cancer. 1994;30:1778–82. - PubMed
Publication types
LinkOut - more resources
Full Text Sources