Placental deficiency during maternal SARS-CoV-2 infection
- PMID: 34768168
- PMCID: PMC8539206
- DOI: 10.1016/j.placenta.2021.10.012
Placental deficiency during maternal SARS-CoV-2 infection
Abstract
Introduction: Maternal anti-SARS-CoV-2 Spike antibodies can cross the placenta during pregnancy, and neonates born to infected mothers have acquired antibodies at birth. Few studies reported data on the histopathological changes of the placenta during infection and placental infection. SARS-CoV-2 infection may cause impaired development of the placenta, thus predisposing maternal and fetal unfavorable outcomes. The prospective study aims to evaluate the risk of vertical transmission of SARS-CoV-2 and placental passage of anti-Spike antibodies as well as the impact of clinical severity on placental structures.
Methods: This is a prospective cohort study on 30 pregnant women infected by SARS-CoV-2 with their neonates. The demographic features and pregnancy outcomes were collected. Gross and microscopic examinations of the placentas were done. Maternal and umbilical cord sera were obtained at the time of delivery. Nasopharyngeal swabs were collected from neonates immediately after birth.
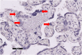
Results: The concentrations of total anti-SARS-CoV-2 Spike antibodies were higher in pregnant women with moderate to severe/critical disease. The maternal total anti-SARS-CoV-2 Spike levels were correlated with those of neonatal levels. The rate of placental abnormalities is high in the mothers with severe disease, and those with positive anti-SARS-CoV-2 IgM. All neonates had negative nasopharyngeal swabs for SARS- CoV-2 infections and all placentas were negative in immunohistochemical staining for Spike protein.
Discussion: The maternally derived anti-SARS-CoV-2 Spike antibody can transmit to neonates born to infected mothers regardless of gestational age. Our results indicated that the disease severity is associated with ischemic placental pathology which may result in adverse pregnancy outcomes.
Keywords: COVID-19; Placental pathological findings; Pregnancy; SARS-CoV-2 infection.
Copyright © 2021 Elsevier Ltd. All rights reserved.
Conflict of interest statement
There is nothing to declare.
Figures
References
-
- Di Mascio D., Khalil A., Saccone G., Rizzo G., Buca D., Liberati M., Vecchiet J., Nappi L., Scambia G., Berghella V., D'Antonio F. Outcome of coronavirus spectrum infections (SARS, MERS, COVID-19) during pregnancy: a systematic review and meta-analysis. Am. J. Obstet. Gynecol. MFM. 2020;2 doi: 10.1016/j.ajogmf.2020.100107. - DOI - PMC - PubMed
-
- Villar J., Ariff S., Gunier R.B., Thiruvengadam R., Rauch S., Kholin A., Roggero P., Prefumo F., do Vale M.S., Cardona-Perez J.A., Maiz N., Cetin I., Savasi V., Deruelle P., Easter S.R., Sichitiu J., Soto Conti C.P., Ernawati E., Mhatre M., Teji J.S., Liu B., Capelli C., Oberto M., Salazar L., Gravett M.G., Cavoretto P.I., Nachinab V.B., Galadanci H., Oros D., Ayede A.I., Sentilhes L., Bako B., Savorani M., Cena H., García-May P.K., Etuk S., Casale R., Abd-Elsalam S., Ikenoue S., Aminu M.B., Vecciarelli C., Duro E.A., Usman M.A., John-Akinola Y., Nieto R., Ferrazi E., Bhutta Z.A., Langer A., Kennedy S.H., Papageorghiou A.T. Maternal and neonatal morbidity and mortality among pregnant women with and without COVID-19 infection. JAMA Pediatr. 2021 doi: 10.1001/jamapediatrics.2021.1050. - DOI - PMC - PubMed
-
- Smithgall M.C., Liu-Jarin X., Hamele-Bena D., Cimic A., Mourad M., Debelenko L., Chen X. Third-trimester placentas of severe acute respiratory syndrome coronavirus 2 (SARS-CoV-2)-positive women: histomorphology, including viral immunohistochemistry and in-situ hybridization. Histopathology. 2020;77 doi: 10.1111/his.14215. - DOI - PMC - PubMed
Publication types
MeSH terms
Substances
LinkOut - more resources
Full Text Sources
Medical
Miscellaneous
