SARS-CoV-2 identification in an acute appendicitis case: Acute abdomen as manifestation of Multisystem Inflammatory Syndrome in a child with COVID-19
- PMID: 34774470
- PMCID: PMC8580246
- DOI: 10.1016/j.bjid.2021.101651
SARS-CoV-2 identification in an acute appendicitis case: Acute abdomen as manifestation of Multisystem Inflammatory Syndrome in a child with COVID-19
Abstract
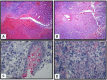
Coronavirus disease 2019 (COVID-19) pandemic is a global health emergency. The clinical course of COVID-19 in children is mild in most of the cases, but multisystem inflammatory syndrome in children (MIS-C) is recognized as a potential life-threatening complication of severe acute respiratory syndrome coronavirus 2 (SARS-CoV-2) infection. Acute abdomen as a presentation of COVID-19 is rare, and its correlation to COVID-19 features and prognosis remains undetermined. Herein, we describe a case of appendicitis in a child with confirmed diagnosis of COVID-19 and subsequent SARS-CoV-2 identification in appendix tissue.
Keywords: Appendicitis; COVID-19; MIS-C; pathology.
Copyright © 2021 Sociedade Brasileira de Infectologia. Published by Elsevier España, S.L.U. All rights reserved.
Conflict of interest statement
Conflicts of interest The authors declare no conflicts of interest.
Figures

References
Publication types
MeSH terms
Supplementary concepts
LinkOut - more resources
Full Text Sources
Medical
Miscellaneous