Severe neonatal COVID-19: Challenges in management and therapeutic approach
- PMID: 34812530
- PMCID: PMC9011600
- DOI: 10.1002/jmv.27472
Severe neonatal COVID-19: Challenges in management and therapeutic approach
Abstract
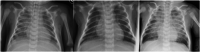
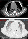
Severe acute respiratory syndrome coronavirus 2 (SARS-CoV-2), the etiological agent of coronavirus disease 2019 (COVID-19), may manifest as a life-threatening respiratory infection with systemic complications. Clinical manifestations among children are generally less severe than those seen in adults, but critical cases have increasingly been reported in infants less than 1 year of age. We report a severe case of neonatal COVID-19 requiring intensive care and mechanical ventilation, further complicated by a multidrug-resistant Enterobacter asburiae super-infection. Chest X-rays, lung ultrasound, and chest computed tomography revealed extensive interstitial pneumonia with multiple consolidations, associated with persistent increased work of breathing and feeding difficulties. SARS-CoV-2 RNA was detected in respiratory specimens and stools, but not in other biological samples, with a rapid clearance in stools. Serological tests demonstrated a specific SARS-CoV-2 antibody response mounted by the neonate and sustained over time. The therapeutic approach included the use of enoxaparin and steroids which may have contributed to the bacterial complication, underlying the challenges in managing neonatal COVID-19, where the balance between viral replication and immunomodulation maybe even more challenging than in older ages.
Keywords: COVID-19; interstitial pneumonia; neonatal sepsis; neonates; severe acute respiratory syndrome 2.
© 2021 Wiley Periodicals LLC.
Conflict of interest statement
The authors declare that there are no conflict of interests.
Figures




References
-
- Sinelli M, Paterlini G, Citterio M, Di Marco A, Fedeli T, Ventura ML. Early neonatal SARS‐CoV‐2 infection manifesting with hypoxemia requiring respiratory support. Pediatrics. 2020;146(1):e20201121. - PubMed
Publication types
MeSH terms
Supplementary concepts
LinkOut - more resources
Full Text Sources
Medical
Miscellaneous