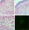
Leukocytoclastic vasculitis after exposure to COVID-19 vaccine
- PMID: 34836739
- PMCID: PMC8578015
- DOI: 10.1016/j.abd.2021.09.003
Leukocytoclastic vasculitis after exposure to COVID-19 vaccine
Figures
References
-
- Jariwala S., Vernon N., Shliozberg J. Henoch-Schönlein purpura after hepatitis A vaccination. Ann Allergy Asthma Immunol. 2011;107:180–181. - PubMed
-
- Bonetto C., Trotta F., Felicetti P., Alarcón G.S., Santuccio C., Bachtiar N.S., et al. Vasculitis as an adverse event following immunization – Systematic literature review. Vaccine. 2016;34:6641–6651. - PubMed
MeSH terms
Substances
Supplementary concepts
LinkOut - more resources
Full Text Sources
Medical
