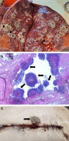
Diffuse aspergillosis in a patient with SARS-CoV-2 pneumonia
- PMID: 34842962
- PMCID: PMC8628491
- DOI: 10.1007/s00134-021-06585-x
Diffuse aspergillosis in a patient with SARS-CoV-2 pneumonia
Conflict of interest statement
On behalf of all other authors, declares no conflict of interest.
Figures
MeSH terms
LinkOut - more resources
Full Text Sources
Medical
Miscellaneous
