White Matter Hyperintensities and Cerebral Microbleeds in Ataxia-Telangiectasia
- PMID: 34859152
- PMCID: PMC8631791
- DOI: 10.1212/NXG.0000000000000640
White Matter Hyperintensities and Cerebral Microbleeds in Ataxia-Telangiectasia
Abstract
Background and objectives: To systematically assess the occurrence of cerebral microbleeds (CMBs) and white matter hyperintensities (WMHs) in the largest published cohort of adults with ataxia-telangiectasia (AT).
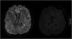
Methods: We assessed 38 adults with AT (age range 18-55 years) including 15 classic and 23 variant AT, evaluated by two independent assessors. WMHs were quantified on T2-fluid attenuated inversion recovery images using the semiquantitative modified Scheltens and Fazekas scales and CMB on susceptibility-weighted imaging and T2*-weighted gradient echo sequences using the Brain Observer MicroBleed Scale.
Results: CMBs were more frequently found in classic AT compared with variant AT (66.7% vs 5.9%) predominantly in cortical and subcortical regions. WMHs were seen in 25 (73.5%) probands and CMBs in 9 (31.0%). The burden of WMHs increased with age, and WMHs were focused in periventricular and deep white matter regions. WMHs were more frequently seen in variant than classic AT.
Discussion: This cohort study confirms that WMHs and CMBs are a frequent finding in AT. Further longitudinal studies are required to understand how WMHs and CMBs relate to the neurodegeneration that occurs in AT and the predisposition to cerebral hemorrhage.
Copyright © 2021 The Author(s). Published by Wolters Kluwer Health, Inc. on behalf of the American Academy of Neurology.
Figures


References
-
- Tiet MY, Horvath R, Hensiek AE. Ataxia telangiectasia: what the neurologist needs to know. Pract Neurol. 2020;20(5):404-414. - PubMed
-
- Scheltens P, Barkhof F, Leys D, et al. . A semiquantitative rating scale for the assessment of signal hyperintensities on magnetic resonance imaging. J Neurol Sci. 1993;114(1):7-12. - PubMed
-
- Cordonnier C, Potter GM, Jackson CA, et al. . Improving interrater agreement about brain microbleeds: Development of the Brain Observer MicroBleed Scale (BOMBS). Stroke. 2009;40(1):94-99. - PubMed
-
- Lin DD, Crawford TO, Lederman HM, Barker PB. Proton MR spectroscopic imaging in ataxia-telangiectasia. Neuropediatrics. 2006;37(4):241-246. - PubMed
Grants and funding
LinkOut - more resources
Full Text Sources