A Child's Acute Intestinal Intussusception and Literature Review
- PMID: 34869796
- PMCID: PMC8637360
- DOI: 10.1177/2333794X211059110
A Child's Acute Intestinal Intussusception and Literature Review
Abstract
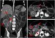
Acute intestinal intussusception remains a surgical emergency in infants and young children aged 3 months to 3 years. It results from the incarceration of the upstream intestinal segment in the downstream segment. In the majority of cases it is idiopathic, but can be secondary to certain pathologies notably Meckel's diverticulum. The site is most often ileo cecal. The symptomatological triad is made up of pain, vomiting, and rectal bleeding. The diagnosis is confirmed by imaging, dominated by ultrasound which remains the reference imaging. We report the case of a 3 year-old boy, followed for a malformation who presented with abdominal distension, abdominal pain, and rectal bleeding. The diagnosis of acute ileo-ileal intussusception was made. After an attempt at hydrostatic reduction under ultrasound guidance, he underwent surgical management. The postoperative period was simple and uncomplicated. Intestinal intussusception remains a pathology with a low morbidity and mortality rate of 0% to 1% due to delayed diagnosis and delayed therapeutic management.
Keywords: acute intestinal intussusception; child; enema reduction; scanner; surgery; ultrasound.
© The Author(s) 2021.
Conflict of interest statement
Declaration of Conflicting Interests: The author(s) declared no potential conflicts of interest with respect to the research, authorship, and/or publication of this article.
Figures



References
-
- Bines JE, Ivanoff B, Justice F, Mulholland K. Clinical case definition for the diagnosis of acute intussusception. J Pediatr Gastroenterol Nutr. 2004;39:511-518. - PubMed
-
- de Lamber G, Guérin F, Franchi-Abella S, Boubnova J, Martelli H. Invagination intestinale aiguë du nourrisson et de l’enfant. Journal de Pédiatrie et de Puériculture. 2015;28:118-130. doi:10.1016/j.jpp.2015.04.001 - DOI
-
- Khen-Dunlop N. L’invagination intestinale aiguë Intestinal intussusceptions in children. Journal de Pédiatrie et de Puériculture. 2020;33:221-227. doi:10.1016/j.jpp.2020.06.006 - DOI
-
- Charles T, Penninga L, Reurings JC, Berry MC. Intussusception in children: a clinical review. Acta Chir Belg. 2015;115:327-333. - PubMed
Publication types
LinkOut - more resources
Full Text Sources