Skip to main page content
U.S. flag

An official website of the United States government

Dot gov

The .gov means it’s official.
Federal government websites often end in .gov or .mil. Before sharing sensitive information, make sure you’re on a federal government site.

Https

The site is secure.
The https:// ensures that you are connecting to the official website and that any information you provide is encrypted and transmitted securely.

Access keys NCBI Homepage MyNCBI Homepage Main Content Main Navigation
. 2022 Feb 15;98(7):e739-e749.
doi: 10.1212/WNL.0000000000013176. Epub 2021 Dec 6.

Dermatomyositis: Muscle Pathology According to Antibody Subtypes

Affiliations

Dermatomyositis: Muscle Pathology According to Antibody Subtypes

Jantima Tanboon et al. Neurology. .

Abstract

Background and objectives: Discoveries of dermatomyositis-specific antibodies (DMSAs) in patients with dermatomyositis raised awareness of various myopathologic features among antibody subtypes. However, only perifascicular atrophy and perifascicular myxovirus resistant protein A (MxA) overexpression were officially included as definitive pathologic criteria for dermatomyositis classification. We aimed to demonstrate myopathologic features in MxA-positive dermatomyositis to determine characteristic myopathologic features in different DMSA subtypes.

Methods: We performed a retrospective pathology review of muscle biopsies of patients with dermatomyositis diagnosed between January 2009 and December 2020 in a tertiary laboratory for muscle diseases. We included all muscle biopsies with sarcoplasmic expression for MxA and seropositivity for DMSAs. MxA-positive muscle biopsies that tested negative for all DMSAs were included as seronegative dermatomyositis. We evaluated histologic features stratified according to 4 pathology domains (muscle fiber, inflammatory, vascular, and connective tissue) and histologic features of interest by histochemistry, enzyme histochemistry, and immunohistochemical study commonly used in the diagnosis of inflammatory myopathy. We performed ultrastructural studies of 54 available specimens.

Results: A total of 256 patients were included. Of these, 249 patients were positive for 1 of the 5 DMSAs (seropositive patients: 87 anti-transcription intermediary factor 1-γ [TIF1-γ], 40 anti-complex nucleosome remodeling histone deacetylase [Mi-2], 29 anti-melanoma differentiation gene 5 [MDA5], 83 anti-nuclear matrix protein 2 [NXP-2], and 10 anti-small ubiquitin-like modifier-activating enzyme [SAE] dermatomyositis) and 7 patients were negative for all 5 DMSAs (seronegative patients). Characteristic myopathologic features in each DMSA subtype were as follows: anti-TIF1-γ with vacuolated/punched out fibers (64.7%; p < 0.001) and perifascicular enhancement in HLA-ABC stain (75.9%; p < 0.001); anti-Mi-2 with prominent muscle fiber damage (score 4.9 ± 2.1; p < 0.001), inflammatory cell infiltration (score 8.0 ± 3.0; p = 0.002), perifascicular atrophy (67.5%; p = 0.02), perifascicular necrosis (52.5%; p < 0.001), increased perimysial alkaline phosphatase activity (70.0%; p < 0.001), central necrotic peripheral regenerating fibers (45.0%; p = 0.002), and sarcolemmal membrane attack complex deposition (67.5%; p < 0.001); anti-MDA5 with scattered/diffuse staining pattern of MxA (65.5%; p < 0.001) with less muscle pathology and inflammatory features; anti-NXP-2 with microinfarction (26.5%; p < 0.001); and anti-SAE and seronegative dermatomyositis with HLA-DR expression (50.0%; p = 0.02 and 57.1%; p = 0.02, respectively).

Discussion: We describe a comprehensive serologic-pathologic correlation of dermatomyositis primarily using MxA expression as an inclusion criterion. In our study, DMSAs were associated with distinctive myopathologic features suggesting different underlying pathobiologic mechanisms in each subtype.

PubMed Disclaimer

Figures

Figure 1
Figure 1. Pathology Domains Among Dermatomyositis-Specific Antibodies Subtypes
(A) Muscle fiber domain: anti–complex nucleosome remodeling histone deacetylase (Mi-2) dermatomyositis (DM) presented a higher muscle fiber domain score than anti–transcription intermediary factor 1-γ (TIF1-γ), anti–melanoma differentiation gene 5 (MDA5), anti–nuclear matrix protein 2 (NXP-2), and seronegative DM. (B) Inflammatory domain: anti-MDA5 DM was associated with a lower inflammatory domain score than anti-TIF1-γ, anti-Mi-2, and anti-NXP-2 DM. (C) Vascular domain: adult capillary:myofiber ratio. The ratio in adult DM was lower than controls. The ratio was not distinctively different among dermatomyositis-specific antibodies (DMSAs) subtypes. (D) Vascular domain: juvenile capillary: myofiber ratio. The ratio in juvenile DM was not different across DMSA subtypes. Bar = mean ± SD, analysis of variance with Dunnett T3 multiple comparison: p value 0.0332 (*), 0.0021 (**), 0.0002 (***), < 0.0001 (****). SAE = small ubiquitin-like modifier-activating enzyme.
Figure 2
Figure 2. Pathology Features of Major Dermatomyositis-Specific Antibodies Subtypes
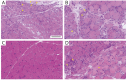
On hematoxylin & eosin staining, anti–transcription intermediary factor 1-γ (TIF1-γ) dermatomyositis showed perifascicular atrophy with vacuolated/punched-out fibers (A, yellow arrowheads); anti–complex nucleosome remodeling histone deacetylase (Mi-2) was associated with perifascicular necrosis (B); anti–melanoma differentiation gene 5 (MDA5) with near normal appearance (C); and anti–nuclear matrix protein 2 (NXP-2) with microinfarction (D, yellow asterisk). Central necrotic-peripheral regenerating fibers were present in anti-Mi-2 and anti-NXP-2 subtypes (B and D, yellow arrowheads). Bar = 100 μm.
Figure 3
Figure 3. Myxovirus Resistant Protein A Expression Patterns in Dermatomyositis
Perifascicular pattern (A, B) and scattered (C)/diffuse (D) pattern. Bar = 100 μm.

References

    1. Bohan A, Peter JB. Polymyositis and dermatomyositis (first of two parts). N Engl J Med. 1975;292(7):344-347. - PubMed
    1. Mammen AL, Allenbach Y, Stenzel W, Benveniste O. ENMC 239th Workshop Study Group. 239th ENMC international workshop: classification of dermatomyositis, Amsterdam, The Netherlands, 14-16 December 2018. Neuromuscul Disord. 2020;30(1):70-92. - PubMed
    1. Tanboon J, Uruha A, Stenzel W, Nishino I. Where are we moving in the classification of idiopathic inflammatory myopathies? Curr Opin Neurol. 2020;33(5):590-603. - PubMed
    1. Hida A, Yamashita T, Hosono Y, et al. . Anti-TIF1-γ antibody and cancer-associated myositis: a clinicohistopathologic study. Neurology. 2016;87(3):299-308. - PubMed
    1. Mugii N, Hasegawa M, Matsushita T, et al. . Oropharyngeal dysphagia in dermatomyositis: associations with clinical and laboratory features including autoantibodies. PLoS One. 2016;11(5):e0154746. - PMC - PubMed

Publication types