Skip to main page content
U.S. flag

An official website of the United States government

Dot gov

The .gov means it’s official.
Federal government websites often end in .gov or .mil. Before sharing sensitive information, make sure you’re on a federal government site.

Https

The site is secure.
The https:// ensures that you are connecting to the official website and that any information you provide is encrypted and transmitted securely.

Access keys NCBI Homepage MyNCBI Homepage Main Content Main Navigation
Review
. 2021 Dec 1;12(8):2031-2051.
doi: 10.14336/AD.2021.0414. eCollection 2021 Dec.

Pathogeneses and Imaging Features of Cerebral White Matter Lesions of Vascular Origins

Affiliations
Review

Pathogeneses and Imaging Features of Cerebral White Matter Lesions of Vascular Origins

Xiaoqin Wu et al. Aging Dis. .

Abstract

White matter lesion (WML), also known as white matter hyperintensities or leukoaraiosis, was first termed in 1986 to describe the hyperintense signals on T2-weighted imaging (T2WI) and fluid-attenuated inversion recovery (FLAIR) maps. Over the past decades, a growing body of pathophysiological findings regarding WMLs have been discovered and discussed. Currently, the generally accepted WML pathogeneses mainly include hypoxia-ischemia, endothelial dysfunction, blood-brain barrier disruption, and infiltration of inflammatory mediators or cytokines. However, none of them can explain the whole dynamics of WML formation. Herein, we primarily focus on the pathogeneses and neuroimaging features of vascular WMLs. To achieve this goal, we searched papers with any type published in PubMed from 1950 to 2020 and cross-referenced the keywords including "leukoencephalopathy", "leukoaraiosis", "white matter hyperintensity", "white matter lesion", "pathogenesis", "pathology", "pathophysiology", and "neuroimaging". Moreover, references of the selected articles were browsed and searched for additional pertinent articles. We believe this work will supply the robust references for clinicians to further understand the different WML patterns of varying vascular etiologies and thus make customized treatment.

Keywords: cerebral vascular disease; cerebral white matter lesion; neuroimaging; pathomechanism.

PubMed Disclaimer

Conflict of interest statement

Conflicts of interest The authors disclose no potential conflicts of interest.

Figures

Figure 1.
Figure 1.
A sketch drawing of central nervous system. Top: The myelinated neurons coupled with various glial cells composed of the NAWM. Bottom: The neuron damage, demyelination, oligodendrocyte edema, and microglial activation all may contribute to the WML formation. Note: NAWM indicates normal-appearing white matter; WML indicates white matter lesion.
Figure 2.
Figure 2.
The schematic diagram of Fazekas scale to semi-quantitatively quantify the WML severity. For PVWM: no lesions, score 0; caps or pencil-thin linings, score 1; smooth halos, score 2; irregular lesions extending into the DWM, score 3. For DWM: no lesions, score 0; punctate foci, score 1; early confluences, score 2; confluences, score 3. Note: PVWM indicates periventricular white matter; DWM indicates deep subcortical white matter.
Figure 3.
Figure 3.
The common causes of right-to-left shunt. The PAVF, ASD, PFO, and VSD are the common entities of RLS. PAVF is a direct communication between pulmonary artery and vein without the mediation of capillaries. ASD refers to a window on the atrial level. PFO is an anatomical defect between septum primum and septum secundum. VSD is defined as a direct pathway between two ventricles. In these settings, venous micro-emboli can directly enter into to the cerebral arteries, resulting in subclinical WMLs or even cerebral infarctions. Note: PAVF indicates pulmonary arterio-venous fistula; ASD indicates atrial septal defect; PFO indicates patent foramen ovale; VSD indicates ventricular septal defect; RLS indicates right-to-left shunt; WMLs indicate white matter lesions.
Figure 4.
Figure 4.
The anatomy of cerebral venous system. The superficial venous blood often outflows through the right-side transverse sinus and internal jugular vein, whereas the deep venous blood often outflows through the left side.
Figure 5.
Figure 5.
The proposed pathological mechanism of WMLs secondary to vascular endothelial inflammation.
Figure 6.
Figure 6.
A schematic flow of proposed mechanisms underlying the venous WML formation.
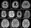
Figure 7.
Figure 7.
Cases of different WML patterns and the characteristic CMBs in CSVD. Age-related WMLs (A1 and A2) mainly locate at periventricular areas, especially the frontal horns; a 14-year-old girl with refractory PFO-associated migraine was found with multiple subcortical spots asymmetrically surrounding bilateral WM areas (B, white arrows); symmetrical lesions around peri-basal ganglia and periventricular horns (C1) were found in an arteriosclerosis patient with deep CMBs (C2) in the basal ganglia; multiple subcortical lesions with an occipital dominance (D1) were identified in a CAA patient with lobar CMBs (D2); venous WMLs (E1-E3) are in a symmetrical and diffuse cloud-like pattern around bilateral periventricular areas (white triangles), and reversible in selected cases as ranged in severity from E1 to E3. Note: WML indicates white matter lesion; CMBs indicate cerebral microbleeds; CSVD indicates cerebral small vessel disease; PFO indicates patent foramen ovale; CAA indicates cerebral amyloid angiopathy.

References

    1. Hachinski VC, Potter P, Merskey H (1986). Leuko-araiosis: an ancient term for a new problem. Can J Neurol Sci, 13:533-4. - PubMed
    1. Pantoni L, Simoni M (2003). Pathophysiology of cerebral small vessels in vascular cognitive impairment. Int Psychogeriatr, 15 Suppl 1:59-65. - PubMed
    1. Wardlaw JM, Smith C and Dichgans M (2013). Mechanisms of sporadic cerebral small vessel disease: insights from neuroimaging. Lancet Neurol, 12:483-97. - PMC - PubMed
    1. Joutel A, Chabriat H (2017). Pathogenesis of white matter changes in cerebral small vessel diseases: beyond vessel-intrinsic mechanisms. Clin Sci (Lond), 131:635-651. - PubMed
    1. Honningsvåg LM, Håberg AK, Hagen K, Kvistad KA, Stovner LJ, Linde M (2018). White matter hyperintensities and headache: A population-based imaging study (HUNT MRI). Cephalalgia, 38:1927-1939. - PubMed

LinkOut - more resources