Molecular Signatures of Diabetic Kidney Disease Hiding in a Patient with Hypertension-Related Kidney Disease: A Clinical Pathologic Molecular Correlation
- PMID: 34911732
- PMCID: PMC8993486
- DOI: 10.2215/CJN.10350721
Molecular Signatures of Diabetic Kidney Disease Hiding in a Patient with Hypertension-Related Kidney Disease: A Clinical Pathologic Molecular Correlation
Abstract
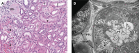
The Kidney Precision Medicine Project (KPMP) seeks to establish a molecular atlas of the kidney in health and disease and improve our understanding of the molecular drivers of CKD and AKI. Herein, we describe the case of a 66-year-old woman with CKD who underwent a protocol KPMP kidney biopsy. Her clinical history included well-controlled diabetes mellitus, hypertension, and proteinuria. The patient's histopathology was consistent with modest hypertension-related kidney injury, without overt diabetic kidney disease. Transcriptomic signatures of the glomerulus, interstitium, and tubular subsegments were obtained from laser microdissected tissue. The molecular signatures that were uncovered revealed evidence of early diabetic kidney disease adaptation and ongoing active tubular injury with enriched pathways related to mesangial cell hypertrophy, glycosaminoglycan biosynthesis, and apoptosis. Molecular evidence of diabetic kidney disease was found across the nephron. Novel molecular assays can supplement and enrich the histopathologic diagnosis obtained from a kidney biopsy.
Keywords: clinical nephrology; molecular biology; pathology.
Copyright © 2022 by the American Society of Nephrology.
Figures




References
-
- Tuttle KR, Knight R, Appelbaum PS, Arora T, Bansal S, Bebiak J, Brown K, Campbell C, Cooperman L, Corona-Villalobos CP, Dighe A, de Boer IH, Hall DE, Jefferson N, Jolly S, Kermani A, Lee SC, Mehl K, Murugan R, Roberts GV, Rosas SE, Himmelfarb J, Miller RT; Kidney Precision Medicine Project : Integrating patient priorities with science by community engagement in the Kidney Precision Medicine Project. Clin J Am Soc Nephrol 16: 660–668, 2021 - PMC - PubMed
-
- Ziyadeh FN: Renal tubular basement membrane and collagen type IV in diabetes mellitus. Kidney Int 43: 114–120, 1993 - PubMed
-
- Brito PL, Fioretto P, Drummond K, Kim Y, Steffes MW, Basgen JM, Sisson-Ross S, Mauer M: Proximal tubular basement membrane width in insulin-dependent diabetes mellitus. Kidney Int 53: 754–761, 1998 - PubMed
-
- Barwinska D, El-Achkar TM, Melo Ferreira R, Syed F, Cheng YH, Winfree S, Ferkowicz MJ, Hato T, Collins KS, Dunn KW, Kelly KJ, Sutton TA, Rovin BH, Parikh SV, Phillips CL, Dagher PC, Eadon MT; Kidney Precision Medicine Project : Molecular characterization of the human kidney interstitium in health and disease. Sci Adv 7: eabd3359, 2021 - PMC - PubMed
-
- Barwinska D, Ferkowicz MJ, Cheng YH, Winfree S, Dunn KW, Kelly KJ, Sutton TA, Rovin BH, Parikh SV, Phillips CL, Dagher PC, El-Achkar TM, Eadon MT; Kidney Precision Medicine Project : Application of laser microdissection to uncover regional transcriptomics in human kidney tissue. J Vis Exp 60: 10.3791/61371, 2020 - PMC - PubMed
Publication types
MeSH terms
Supplementary concepts
Grants and funding
- UH3 DK114923/DK/NIDDK NIH HHS/United States
- UH3 DK114908/DK/NIDDK NIH HHS/United States
- U2C DK114886/DK/NIDDK NIH HHS/United States
- UH3 DK114920/DK/NIDDK NIH HHS/United States
- UH3 DK114870/DK/NIDDK NIH HHS/United States
- K08 DK107864/DK/NIDDK NIH HHS/United States
- UH3 DK114937/DK/NIDDK NIH HHS/United States
- UH3 DK114915/DK/NIDDK NIH HHS/United States
- UH3 DK114926/DK/NIDDK NIH HHS/United States
- UH3 DK114861/DK/NIDDK NIH HHS/United States
- UH3 DK114933/DK/NIDDK NIH HHS/United States
- U24 DK114886/DK/NIDDK NIH HHS/United States
- UH3 DK114907/DK/NIDDK NIH HHS/United States
- UH3 DK114866/DK/NIDDK NIH HHS/United States
LinkOut - more resources
Full Text Sources
Other Literature Sources
Medical