Cerebral lesions in hematological malignancies: a case report
- PMID: 34924018
- PMCID: PMC8684816
- DOI: 10.1186/s13256-021-03196-4
Cerebral lesions in hematological malignancies: a case report
Abstract
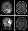
Background: Progressive multifocal leukoencephalopathy is a rare central nervous system disease, resulting from reactivation of latent John Cunningham virus. Monoclonal antibodies have recently become a relevant risk factor for developing progressive multifocal leukoencephalopathy. We report the case of a 62-year-old Caucasian man who was admitted to our department in June 2020 because of right homonymous hemianopia. Magnetic resonance imaging findings were first interpreted as an intracranial relapsed lymphoma, so brain biopsy was performed, but no neoplastic cell was found. Histological sample only showed a large number of macrophages. The patient came back to our attention because of the worsening of neurological symptoms. A second magnetic resonance imaging showed widespread lesions suggestive of a demyelinating process. John Cunningham virus DNA was detected by polymerase chain reaction assay of the cerebrospinal fluid (over 9 million units/μL). The patient was treated supportively, but the outcome was poor.
Discussion: A multidisciplinary assessment should be performed for differential diagnosis of cerebral lesions in hematologic malignancies. Progressive multifocal leukoencephalopathy should be suspected in cases of subacute neurological symptoms and imaging findings consistent with it, especially if the patient received immunosuppressive or immunomodulatory drugs.
Keywords: Case report; Demyelination; JC virus; PML; Rituximab.
© 2021. The Author(s).
Conflict of interest statement
The authors declare that they have no competing interests.
Figures
References
-
- Devaraj NK, Suppiah S, Veettil SK, Ching SM, Lee KW, Menon RK, Soo MJ, Deuraseh I, Hoo FK, Sivaratnam D. The effects of probiotic supplementation on the incidence of diarrhea in cancer patients receiving radiation therapy: a systematic review with meta-analysis and trial sequential analysis of randomized controlled trials. Nutrients. 2019;11(12):2886. doi: 10.3390/nu11122886. - DOI - PMC - PubMed
Publication types
MeSH terms
Substances
LinkOut - more resources
Full Text Sources
