Paediatric Longitudinal Tracheal Laceration From Blunt Force Trauma: A Case Report
- PMID: 34963867
- PMCID: PMC8709235
- DOI: 10.7759/cureus.19867
Paediatric Longitudinal Tracheal Laceration From Blunt Force Trauma: A Case Report
Abstract
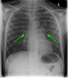
Tracheal lacerations in the paediatric population are not common; however, they can be life-threatening. Prompt diagnosis and management are essential for a good prognosis. Here, we present the case of a nine-year-old boy who presented to the hospital following a bicycle handlebar injury with neck pain and subcutaneous emphysema of the anterior thorax and neck. Chest X-ray revealed pneumomediastinum and a small pneumothorax. A computed tomography scan revealed a posterior longitudinal laceration of the trachea, measuring 1.5 cm, located superior to the carina at T1/2. As the patient was clinically stable, did not require any supplemental oxygen, and the tear was smaller than 2 cm, conservative management with steroids and broad-spectrum antibiotics was implemented. The patient was transferred to a tertiary ENT centre in Glasgow for observation in the paediatric intensive care unit where he recovered uneventfully. A repeat cross-sectional imaging six days after the injury revealed successful healing of the laceration. Non-surgical management of a tracheobronchial injury can be an effective approach. This can be considered in the case of tears measuring <2 cm and in clinically stable patients. Imaging-based diagnosis in the case of patients with minor injuries who are improving with conservative treatment may be sufficient, and confirmation with bronchoscopy would be of questionable clinical value in such patients.
Keywords: airway disruption; paediatric blunt trauma; paediatric trauma; tracheal laceration; tracheobronchial injury.
Copyright © 2021, Loroch et al.
Conflict of interest statement
The authors have declared that no competing interests exist.
Figures



References
-
- Contemporary management strategies of blunt tracheobronchial injuries. Rieth A, Varga E, Kovács T, Ottlakán A, Németh T, Furák J. Injury. 2021;52 Suppl 1:0–14. - PubMed
-
- Lacerations of the cervical trachea in children. Kielmovitch IH, Friedman WH. Int J Pediatr Otorhinolaryngol. 1988;15:73–78. - PubMed
-
- Spontaneous tracheal rupture after severe coughing in a 7-year-old boy. Roh JL, Lee JH. Pediatrics. 2006;118:0–7. - PubMed
-
- Tracheal tear from blunt neck trauma in children: diagnosis and management. Mener DJ, Stewart FD, Tunkel DE. Int J Pediatr Otorhinolaryngol. 2017;96:100–102. - PubMed
-
- Management of blunt tracheobronchial trauma in the pediatric age group. Ballouhey Q, Fesseau R, Benouaich V, Lagarde S, Breinig S, Léobon B, Galinier P. Eur J Trauma Emerg Surg. 2013;39:167–171. - PubMed
Publication types
LinkOut - more resources
Full Text Sources
Research Materials
Miscellaneous