Case Report: Necrotizing Stomatitis as a Manifestation of COVID-19-Associated Vasculopathy
- PMID: 34966708
- PMCID: PMC8710718
- DOI: 10.3389/fped.2021.800576
Case Report: Necrotizing Stomatitis as a Manifestation of COVID-19-Associated Vasculopathy
Abstract
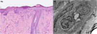
Necrotizing stomatitis is a rare, acute-onset disease that is usually associated with severely malnourished children or diminished systemic resistance. We describe a 1-year-old girl who developed necrotizing stomatitis, vasculitic rash, skin desquamation on the fingers and toes, and persistent hypertension after serologically confirmed SARS-CoV-2 infection. Her laboratory investigations revealed positive IgG anticardiolipin and IgG anti-β2 glycoprotein antibodies, and biopsy of the mucosa of the lower jaw showed necrosis and endothelial damage with mural thrombi. Swollen endothelial cells of small veins in the upper dermis were confirmed also by electron microscopy. As illustrated by our case, necrotizing stomatitis may develop as a rare complication associated with SARS-CoV-2 infection and can be considered as a part of the clinical spectrum of COVID-19 vasculopathy. The pathogenic mechanism could involve a consequence of inflammatory events with vasculopathy, hypercoagulability, and damage of endothelial cells as a response to SARS-CoV-2 infection.
Keywords: COVID-19 associated vasculopathy; SARS-CoV-2; case report; damage of endothelial cell; hypertension; necrotizing stomatitis; vasculitis.
Copyright © 2021 Emeršič, Tomaževič, Točkova, Kopač, Volavšek, Ključevšek and Avčin.
Conflict of interest statement
The authors declare that the research was conducted in the absence of any commercial or financial relationships that could be construed as a potential conflict of interest. The handling Editor declared a past co-authorship with one of the authors TA.
Figures
References
Publication types
LinkOut - more resources
Full Text Sources
Research Materials
Miscellaneous
