Cytomorphological study of thyroid carcinoma
- PMID: 34970340
- PMCID: PMC8713177
- DOI: 10.3892/etm.2021.11040
Cytomorphological study of thyroid carcinoma
Abstract
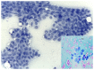
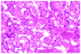
The most common neoplasm of the endocrine system is found in the thyroid gland with a significant increase in recent decades largely due to modern diagnostic methods. Thyroid tumors generally have a favorable evolution, but there are also aggressive variants with a poor prognosis. In these aggressive tumors, the most reliable method of detecting and making a differential diagnosis is represented by ultrasound-guided fine-needle cytopuncture, confirmed by histopathological examination. Although fine-needle aspiration puncture and cytological examination are considered to have a high sensitivity and specificity, diagnostic certainty is established later only by histopathological examination. Fine-needle aspiration cytopuncture of the thyroid gland correlated with histopathological examination has played a crucial role in recognizing and identifying variants of papillary carcinoma known to have aggressive biological behavior, especially in cases of poorly differentiated carcinoma. Recognition of aggressive variants of papillary carcinoma is of major importance in the prognosis and clinical management of patients. The aim of this study was to present the correlations found in a series of thyroid tumors from patients treated in surgery and oncology departments, as well as tumors accidentally detected during autopsies in the department of forensics. All the cases selected in the study benefited from a complex histopathological diagnosis adapted to each case in order to ensure maximum efficiency.
Keywords: cytopuncture of the thyroid; fine-needle aspiration; histopathology; thyroid carcinoma; thyroid cytomorphology; thyroid tumors.
Copyright: © Mohorea et al.
Conflict of interest statement
The authors declare that they have no competing interests.
Figures






References
-
- Ramirez-Gonzalez LR, Sevilla-Vizcaino R, Monge-Reyes P, Aldaz-Dorantes JE, Marquez-Valdez AR, Garcia-Martinez D, Gonzalez-Ojeda A, Fuentes-Orozco C. Findings of thyroid nodules in autopsies in Western Mexico. Rev Med Inst Mex Seguro Soc. 2017;55:594–598. (In Spanish) - PubMed
-
- Davies L, Morris LG, Haymart M, Chen AY, Goldenberg D, Morris J, Ogilvie JB, Terris DJ, Netterville J, Wong RJ, et al. American association of clinical endocrinologists and American college of endocrinology disease state clinical review: The increasing incidence of thyroid cancer. Endocr Pract. 2015;21:686–696. doi: 10.4158/EP14466.DSCR. - DOI - PMC - PubMed
-
- Milas Z, Shin J, Milas M. New guidelines for the management of thyroid nodules and differentiated thyroid cancer. Minerva Endocrinol. 2011;36:53–70. - PubMed
LinkOut - more resources
Full Text Sources