Trans-scaphoid lunate dislocation: A case series
- PMID: 34976256
- PMCID: PMC8688966
- DOI: 10.1016/j.radcr.2021.11.033
Trans-scaphoid lunate dislocation: A case series
Erratum in
-
Erratum regarding missing patient consent statements in previously published articles.Radiol Case Rep. 2023 Jan 24;18(3):1389-1390. doi: 10.1016/j.radcr.2023.01.014. eCollection 2023 Mar. Radiol Case Rep. 2023. PMID: 36818993 Free PMC article.
Abstract
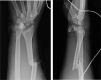
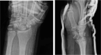
Trans-scaphoid lunate dislocation with volar displacement into the wrist/distal forearm is a devastating injury that most commonly occurs under situations of forceful impact to an extended wrist. Due to ligamentous disruption as well as fragile blood supply, these Mayfield type 4 injuries are associated with significant morbidity and long-term sequelae. Current treatment approaches to lunate dislocations depend on the severity and chronicity of the injury in addition to patient factors, with operative management potentially including ORIF or proximal row carpectomy. We report 5 cases of this rare injury pattern in 4 different patients.
Keywords: AVN, avascular necrosis; Avascular necrosis; Carpal instability; DRUJ, distal radioulnar joint; Lunate dislocation; Mayfield classification; ORIF, open reduction internal fixation; Perilunate dislocation; Perilunate instability; TFCC, triangular fibrocartilage complex.
© 2021 The Authors. Published by Elsevier Inc. on behalf of University of Washington.
Figures










References
Publication types
LinkOut - more resources
Full Text Sources