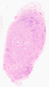
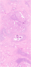
Diffuse sclerosing variant of papillary thyroid carcinoma: outcomes of 33 cases
- PMID: 34981753
- PMCID: PMC9142808
- DOI: 10.1530/ETJ-21-0020
Diffuse sclerosing variant of papillary thyroid carcinoma: outcomes of 33 cases
Abstract
Introduction: Diffuse sclerosing variant of PTC (DSV-PTC) is an uncommon subtype of thyroid cancer. Although an aggressive behavior is often recognized, prognostic significance is still under debate.
Objectives: To describe the clinicopathological features and outcomes of a series of DSV-PTC patients.
Methods: Retrospective data collection involving 33 patients diagnosed with DSV-PTC followed at the Endocrine Department of the Portuguese Institute of Oncology in Lisbon between 1981 and 2020.
Results: Twenty-six patients (78.8%) were females with a mean age at presentation of 29.4 ± 11.7 years old. Mean time of follow-up was 19.5 ± 10.6 years (range 0.5-39). Histologically, bilateral tumors were present in 72.7% patients (n = 24), thyroid capsular invasion was documented in 57.6% (n = 19), 45.4% (n = 15) had extrathyroidal extension, and 42.4% (n = 14) had lymphovascular invasion. Most patients were staged pT3 (42.4%, n = 14) and pN1 (81.8%, n = 27). Median lymph nodes resected were 16. None of the patients showed distant metastases at presentation. All patients were treated at least once with 131I. During follow-up, four patients (14.8%), with persistent neck disease, were diagnosed with distant metastases, all of them in the lung. Two patients (1.8%) presented recurrent disease in the neck after being considered with no evidence of disease. At the last appointment, 18 patients (54.5%) were in remission, 4 (12.1%) had biochemical evidence of disease, 6 had structural disease, and for 5 patients disease status was considered as undetermined. There was no disease related mortality.
Discussion/conclusion: Our study confirms that DSV-PTC is diagnosed more often in young patients and exhibits a local extensive disease at presentation. On the other hand, even in the presence of distant metastases, no patient died during follow-up.
Keywords: aggressive thyroid; diffuse sclerosing variant; papillary thyroid carcinoma.
Figures



References
-
- LiVolsi VA, Albores-Saavedra J, Asa SL. Papillary carcinoma. In WHO Classification of Tumours. Pathology and Genetics of Tumours of Endocrine Organs, p. 5766. Eds Lellis D, Lloyd R, Heitz PU, Eng C. Lyon, France: IARC Press, 2004.
LinkOut - more resources
Full Text Sources
Miscellaneous