Serum Creatinine/Cystatin C Ratio Associated with Cross-Sectional Area of Erector Spinae Muscles and Pulmonary Function in Patients with Chronic Obstructive Pulmonary Disease
- PMID: 34992359
- PMCID: PMC8713710
- DOI: 10.2147/COPD.S339243
Serum Creatinine/Cystatin C Ratio Associated with Cross-Sectional Area of Erector Spinae Muscles and Pulmonary Function in Patients with Chronic Obstructive Pulmonary Disease
Abstract
Purpose: Muscle atrophy is a major clinical feature of chronic obstructive pulmonary disease (COPD) and is considered a predictor of mortality in COPD patients. Recently, the cross-sectional area (CSA) of the erector spinae muscles measured by chest computed tomography (CT) scans (ESMCSA) has been reported as a clinical parameter reflecting disease severity and future prognosis in patients with COPD. In addition, the serum creatinine (Cr)/cystatin C (CysC) ratio has been considered a quantitative marker of residual muscle mass, because serum Cr levels are affected by muscle mass, and correction by CysC counteracts the effect of renal function on serum Cr levels. The purpose of this study was to assess whether the serum Cr level corrected by serum CysC can be used as a predictive marker of pulmonary function and disease severity in patients with COPD.
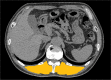
Patients and methods: A total of 99 patients without COPD and 201 patients with COPD, with a smoking history of more than 10 pack-years were enrolled in this study, and serum Cr and CysC levels were measured. On chest high-resolution CT images, %low attenuation area (LAA%) (≤960 Hounsfield units (HU)) and ESMCSA at the Th12 level were identified.
Results: There was a significant correlation between the ESMCSA and the Cr/CysC ratio. The Cr/CysC ratio was significantly associated with forced vital capacity (FVC) and forced expiratory volume in 1 second (FEV1) values, especially in former smokers.
Conclusion: The serum Cr/CysC ratio could be a convenient substitute for the measurement of muscle atrophy and pulmonary function testing in patients with COPD.
Keywords: low attenuation area; muscle atrophy; sarcopenia; smoking status.
© 2021 Nishiki et al.
Conflict of interest statement
The authors report no conflicts of interest in this work.
Figures









References
-
- Schols AMWJ, Broekhuizen R, Weling-Scheepers CA, et al. Body composition and mortality in chronic obstructive pulmonary disease. Am J Clin Nutr. 2005;82(1):53–59. - PubMed
MeSH terms
Substances
LinkOut - more resources
Full Text Sources
Medical