Paraneoplastic Cerebellar Syndrome Presented as Cerebellar Hypermetabolism in a Patient With Occult Breast Carcinoma
- PMID: 35006107
- PMCID: PMC8746891
- DOI: 10.1097/RLU.0000000000004016
Paraneoplastic Cerebellar Syndrome Presented as Cerebellar Hypermetabolism in a Patient With Occult Breast Carcinoma
Abstract
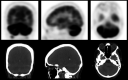
A 47-year-old woman presented with an acute cerebellar syndrome. Neither cerebellar atrophy nor an infarction or tumor was shown on MRI. A diagnostic CT demonstrated enlarged axillary lymph nodes, but no primary tumor. Puncture of these nodes showed non-small cell carcinoma. 18F-FDG PET/CT imaging was performed and suggested an occult breast carcinoma, which was confirmed by pathological examination. It also showed cerebellar hypermetabolism, consistent with a PCS (paraneoplastic cerebellar syndrome). This case shows that 18F-FDG PET imaging may be of value in patients in which a PCS is considered clinically, particularly in patients suspicious for an occult malignancy.
Copyright © 2022 The Author(s). Published by Wolters Kluwer Health, Inc.
Conflict of interest statement
Conflicts of interest and sources of funding: J.B. declares that he is a consultant at GE Healthcare (payments to the institution) and is a member of the editorial board of the Eur J Nucl Med Mol Imaging. The other authors declare that they have no potential conflicts of interest to disclose.
Figures
References
-
- Massa F Filippi L Benedetti L, et al. . FDG PET unveils the course of paraneoplastic cerebellar degeneration: a semiquantitative analysis. Clin Nucl Med. 2021;46:e327–e328. - PubMed
-
- Gheysens O Deroose CM Tousseyn T, et al. . Hodgkin lymphoma-associated paraneoplastic cerebellar degeneration on FDG-PET/CT. Br J Haematol. 2014;164:468. - PubMed
Publication types
MeSH terms
Substances
LinkOut - more resources
Full Text Sources
Medical
