Triglyceride and glucose index: a useful tool for non-alcoholic liver disease assessed by liver biopsy in patients with metabolic syndrome?
- PMID: 35024735
- PMCID: PMC8848285
- DOI: 10.47162/RJME.62.2.13
Triglyceride and glucose index: a useful tool for non-alcoholic liver disease assessed by liver biopsy in patients with metabolic syndrome?
Abstract
Introduction: Non-alcoholic fatty liver disease (NAFLD) is associated with metabolic impairments, being a component of metabolic syndrome. Considering the involvement of fat accumulation and insulin resistance in NAFLD, triglyceride and glucose (TyG) index was proposed as a marker of NAFLD progression. The "gold standard" for the evaluation of liver lesions characteristic for NAFLD remains the liver biopsy. The aim of this study was to establish the links between TyG index, assessing insulin resistance, and histopathological lesions of liver samples obtained by liver biopsy in patients with metabolic syndrome.
Patients, materials and methods: We conducted a study over a period of three years, including 113 adult patients with metabolic syndrome in whom hepatic disorders were assessed by liver biopsy and insulin resistance was evaluated by TyG index.
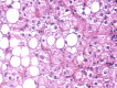
Results and discussions: In our study, steatosis had a frequency of 92.03%, being identified 26 cases with mild steatosis, 48 with moderate steatosis and 31 with severe steatosis. Regarding non-alcoholic steatohepatitis (NASH), the frequency of this disorder in our study group was 29.2% in the subjects with liver steatosis, while liver fibrosis had a frequency of 53.09%. When we analyzed the relationships between TyG index and the presence of each type of lesion necessary for NASH diagnosis, we obtained statistically significant differences for the presence of hepatocyte ballooning (p=0.01) and a high statistically significance for the NAFLD activity score (NAS) (p<0.0001).
Conclusions: TyG index is a facile tool that can be used to identify patients at risk for advanced NAFLD lesions evaluated by liver biopsy.
Conflict of interest statement
The authors declare that they have no conflict of interests.
Figures
References
-
- Alberti KGMM, Eckel RH, Grundy SM, Zimmet PZ, Cleeman JI, Donato KA, Fruchart JC, James WPT, Loria CM, Smith SC Jr, International Diabetes Federation Task Force on Epidemiology and Prevention. National Heart, Lung, and Blood Institute. American Heart Association. World Heart Federation. International Atherosclerosis Society. International Association for the Study of Obesity Harmonizing the metabolic syndrome: a joint interim statement of the International Diabetes Federation Task Force on Epidemiology and Prevention; National Heart, Lung, and Blood Institute; American Heart Association; World Heart Federation; International Atherosclerosis Society; and International Association for the Study of Obesity. Circulation. 2009;120(16):1640–1645. - PubMed
-
- Younossi Z, Anstee QM, Marietti M, Hardy T, Henry L, Eslam M, George J, Bugianesi E. Global burden of NAFLD and NASH: trends, predictions, risk factors and prevention. Nat Rev Gastroenterol Hepatol. 2018;15(1):11–20. - PubMed
-
- Byrne CD, Targher G. NAFLD: a multisystem disease. J Hepatol. 2015;62(1 Suppl):S47–S64. - PubMed
MeSH terms
Substances
LinkOut - more resources
Full Text Sources
Medical
