Skip to main page content
U.S. flag

An official website of the United States government

Dot gov

The .gov means it’s official.
Federal government websites often end in .gov or .mil. Before sharing sensitive information, make sure you’re on a federal government site.

Https

The site is secure.
The https:// ensures that you are connecting to the official website and that any information you provide is encrypted and transmitted securely.

Access keys NCBI Homepage MyNCBI Homepage Main Content Main Navigation
Case Reports
. 2021 Dec 12;13(12):e20373.
doi: 10.7759/cureus.20373. eCollection 2021 Dec.

Anomalous Branch of the Left Hepatic Artery With Pericardial, Diaphragmatic, Splenic and Gastric Supply During Selective Internal Radiotherapy (SIRT)

Affiliations
Case Reports

Anomalous Branch of the Left Hepatic Artery With Pericardial, Diaphragmatic, Splenic and Gastric Supply During Selective Internal Radiotherapy (SIRT)

Naushad H Karim et al. Cureus. .

Abstract

Selective internal radiotherapy (SIRT) is an established modality for the treatment of hepatic malignancy. The procedure is normally carried out in two parts. The first part involves a planning or "work-up" angiogram to delineate anatomy and plan safe yttrium-90 (Y90) delivery, and the second part for the administration of the Y90 microspheres. The work-up angiogram has three main purposes including delineation of hepatic and tumor vascular anatomy, which might influence the administration of the microbeads, identification, and embolization of blood vessels, which may complicate treatment or contribute to non-target Y90 microsphere deposition and administration of technetium 99 (metastable) labeled macroaggregated albumin (99mTcMAA) at the planned administration points prior to the same day single-photon emission computed tomography (SPECT) or planar SPECT to identify sites of 99mTcMAA uptake. We present the case of a SIRT procedure that demonstrated an anomalous artery arising from the left hepatic artery with supply to the pericardium, diaphragm, fundus of the stomach, and spleen. This is a rare vascular variant that highlights the importance of thorough assessment of both the planning angiograms and SPECT CT for the presence of anatomical variants and abnormal extrahepatic 99mTcMAA uptake to help reduce the need to recall patients for repeat work-up procedures.

Keywords: anomalous left hepatic artery branch; diaphragm; pericardium; selective internal radiotherapy (sirt); single photon emission tomography (spect); spleen; stomach.

PubMed Disclaimer

Conflict of interest statement

The authors have declared that no competing interests exist.

Figures

Figure 1
Figure 1. Axial CT abdomen in the portovenous phase in liver window demonstrating the segment 4a tumor (white arrow).
Figure 2
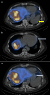
Figure 2. Axial SPECT images demonstrating small amounts of activity in the diaphragm (a, white arrow), spleen (a, yellow arrow), pericardium (b, white arrow), and stomach (c, white arrow).
SPECT: single-photon emission computed tomography.
Figure 3
Figure 3. DSA angiogram from the left main hepatic artery demonstrating the anomalous branch (a, white arrow), and angiogram following selection of the anomalous branch with a microcatheter (b) demonstrating branches supplying the pericardium (red arrow), spleen (white arrow), and stomach (blue arrow).
DSA: digital subtraction angiography.
Figure 4
Figure 4. DSA angiogram after coiling demonstrating coils in the vessel (white arrow) with no contrast beyond in keeping with complete occlusion.
DSA: digital subtraction angiography.
Figure 5
Figure 5. Bremstralung scan after the treatment at the level of the upper abdomen (a) and lower chest (b) demonstrating no activity in the previously seen areas.

References

    1. Planning arteriography for yttrium-90 microsphere radioembolization. Gaba RC. Semin Intervent Radiol. 2015;32:428–438. - PMC - PubMed
    1. Same-day yttrium-90 radioembolization: feasibility with resin microspheres. Li MD, Chu KF, DePietro A, et al. J Vasc Interv Radiol. 2019;30:314–319. - PubMed
    1. Anatomy of liver arteries for interventional radiology. Favelier S, Germain T, Genson PY, Cercueil JP, Denys A, Krausé D, Guiu B. Diagn Interv Imaging. 2015;96:537–546. - PubMed
    1. Vascular redistribution for SIRT—a quantitative assessment of treatment success and long-term analysis of recurrence and survival outcomes. Borg P, Wong JJ, Lawrance N, et al. J Clin Interv Radiol ISVIR. 2019;03:89–97.
    1. Flow-directed catheters in hepatic embolization therapy—a review with clinical cases. Iqbal S, Breyfogle LJ, Flacke S. J Clin Interv Radiol ISVIR. 2021;5:99–105.

Publication types

LinkOut - more resources