Skip to main page content
U.S. flag

An official website of the United States government

Dot gov

The .gov means it’s official.
Federal government websites often end in .gov or .mil. Before sharing sensitive information, make sure you’re on a federal government site.

Https

The site is secure.
The https:// ensures that you are connecting to the official website and that any information you provide is encrypted and transmitted securely.

Access keys NCBI Homepage MyNCBI Homepage Main Content Main Navigation
Case Reports
. 2022 Jan 9;14(1):e21051.
doi: 10.7759/cureus.21051. eCollection 2022 Jan.

Infliximab-Associated Xanthogranulomatous Pyelonephritis: A Rare Complication

Affiliations
Case Reports

Infliximab-Associated Xanthogranulomatous Pyelonephritis: A Rare Complication

Adnan Alzanbagi et al. Cureus. .

Abstract

Xanthogranulomatous pyelonephritis (XGP) is one of the rare diseases characterized by chronic inflammation and destruction of the renal parenchyma, and it is usually associated with renal infection, and nephrolithiasis. Infliximab is an anti-tumor necrosis factor-alpha (anti-TNF-α) monoclonal antibody, which is widely used for treating inflammatory bowel disease, and it is known to increase the risk of rare and opportunistic infections. In this study, we report a case of XGP presenting after the initiation of infliximab treatment. We highlight one of the possible complications associated with immunosuppression due to infliximab. Furthermore, the importance of increasing the awareness among physicians for early recognition of this rare complication.

Keywords: anti-tumor necrosis factor blocker; infliximab; ulcerative colitis (uc); xanthogranulomatous pyelonephritis.

PubMed Disclaimer

Conflict of interest statement

The authors have declared that no competing interests exist.

Figures

Figure 1
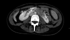
Figure 1. Abdominal CT scan without contrast shows horseshoe-shaped kidneys with suspicion of renal mass.
Figure 2
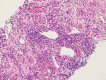
Figure 2. Renal biopsy revealed features of chronic inflammation of the kidney.
The interstitium shows moderate infiltration of mixed inflammatory cells comprised of lymphocytes, plasma cells, many histiocytes, eosinophils, and some neutrophils with focal area of necrosis.
Figure 3
Figure 3. Abdominal CT scan without contrast shows resolution of abscesses.

References

    1. Xanthogranulomatous pyelonephritis with incomplete double ureter. Hayashi Y, Kawahara T, Hattori Y, et al. Case Rep Med. 2017;2017 - PMC - PubMed
    1. Xanthogranulomatous pyelonephritis can simulate a complex cyst: case description and review of literature. Butticè S, Antonino I, Giorgio A, Valeria B, Stefano P, Giuseppe M, Carlo M. Urol Case Rep. 2014;2:113–115. - PMC - PubMed
    1. Xanthogranulomatous pyelonephritis in adults: clinical and radiological findings in diffuse and focal forms. Loffroy R, Guiu B, Watfa J, Michel F, Cercueil JP, Krausé D. Clin Radiol. 2007;62:884–890. - PubMed
    1. Xanthogranulomatous pyelonephritis: synchronous upper and lower gastrointestinal bleed. Mirza MU, Van Taunay J, Waleed M, Vangimalla SS, Hegde S, Moustafa MA. J Investig Med High Impact Case Rep. 2019;7 - PMC - PubMed
    1. Infliximab: use in inflammatory bowel disease. Travassos WJ, Cheifetz AS. Curr Treat Options Gastroenterol. 2005;8:187–196. - PubMed

Publication types

LinkOut - more resources